허리디스크 방사통이 좋아질 때까지 6개월, 1년, 혹은 그 이상 참으면서 허리디스크 방사통은 오래 가는 게 당연하다고 생각하는 분들이 많은데, 이건 정말 잘못된 생각입니다. 디스크 환자들의 방사통은 극심한 파열이라도 수술이나 스테로이드 없이 최적화된 조건 하에 평균 4주면 가라앉습니다. 이에 대해 자세히 설명 드리겠습니다.
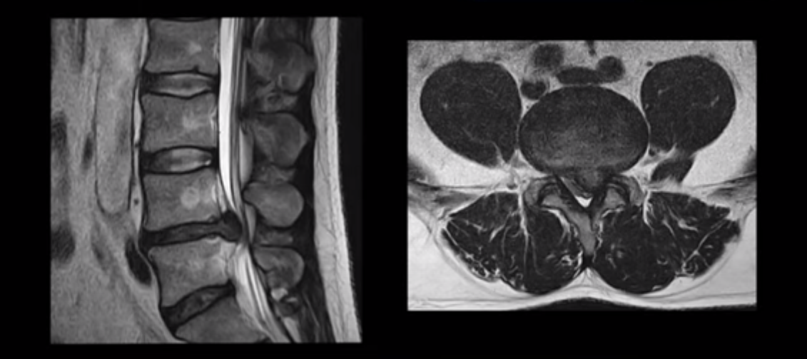
허리디스크 보존치료 좀 경험했다는 환자분들이 자기 경험으로 빗대어 방사통은 원래 오래 가는 것이 당연한 것처럼 말하는 경우가 많습니다. 그런데 저희 같은 비수술 척추치료를 전문적으로 10년 이상 수만 명씩 하고 있는 병원의 입장에서 보면 매우 답답하고 안타깝습니다. 그럼 이 4주 얘기가 파열이 심하지 않은 환자 얘기인지 궁금하실 텐데, 전혀 아닙니다. 여기 보는 MRI처럼 이 정도로 파열이 심하고, 심지어는 마비까지 있는 사람들의 이야기입니다. 이런 사람들이 최적화된 조건 하에서 평균 4주면 방사통이 가라앉는 것입니다.




그렇다면 방사통이 가라앉는 최적화된 조건이란 게 뭘까요? 두 가지입니다. 첫 번째는 일상생활을 모두 중단하고 무조건 누워서 쉬는 것입니다. 그런데 그냥 가만히 혼자서 집에 누워있는 것과는 다릅니다. 심한 방사통이 있는 상태에서는 근육이 다 뭉치고 긴장되고 뒤틀리기 때문에 이걸 반복해서 풀어주는 게 중요합니다. 뭉치고 긴장되고 뒤틀리는 근육을 반복해서 부드럽게 풀어주는 것, 이게 바로 두 번째 최적화된 조건입니다. 그냥 집에 누워만 있는다고 최적화된 조건이 되는 게 아니라 적극적으로 하루에도 4번 이상 뭉친 근육을 풀어주는 게 중요하다는 얘기입니다.
왜 누워서 쉬면서 근육을 반복적으로 풀어주는 게 중요하냐면, 누워서 쉬지 않고 일하러 가서 오래 앉아있거나 허리를 계속 사용하는 일상생활을 계속하면 디스크 상처가 계속 미세한 손상을 받기 때문에 잘 아물지 않고, 신경의 염증은 계속 자극되니까 만성적인 염증으로 진행되고, 또 그 과정에서 심한 통증 때문에 근육이 더 많이 뭉치고 긴장되며 뒤틀리게 되니까 결국 몸이 다 틀어지게 됩니다. 이렇게 되면 방사통이 아주 오랫동안 6개월, 1년, 1년 반 이상 오래가는 겁니다..
그렇다면 이 뭉치고 긴장되고 뒤틀린 허리, 골반, 다리 근육은 어떻게 풀어줄 수 있을까요? 환자가 입원해서 편히 누워서 쉴 수 있는 상태에서 하루에도 4번 이상 허리, 골반, 다리의 뭉치고 뒤틀린 근육을 풀어주고 쉬고 풀어주고 쉬고를 반복해줘야 합니다. 이게 바로 모커리 ABCDE 디스크 근육재활치료법입니다.
모커리 ABCDE 디스크 근육재활치료법은 한방, 양방을 통합하여 근육에 관련된 할 수 있는 거의 모든 치료를 다 합니다. 침, 약침, 봉침, 이완추나, 도수치료, 물리치료, 가벼운 운동치료까지 여러 가지 치료방법을 총동원하여 환자를 입원시킨 상태에서 하루에도 4번 이상 뭉치고 긴장되고 뒤틀린 근육을 풀어주고 쉬고 풀어주고 쉬고 풀어주고 쉬고를 반복합니다. 이때 몸이 틀어지고 허리가 비뚤어진다고 해서 강제로 허리를 꺾어서 교정하는 것이 아니라 허리 주변의 뭉치고 틀어지는 근육을 하루에도 여러 번씩 계속해서 부드럽게 풀어줘야 합니다. 그러면 4주 안에 염증이 가라앉으면서 방사통도 가라앉게 되고, 발목마비가 있는 경우라면 마비증상도 풀리게 됩니다.
이게 안 믿기십니까? 이걸 못 믿으시는 분들이 수술하기는 싫고 다른 뾰족한 방법을 못 찾으니 방사통이 6개월, 1년, 1년 반씩 오래가는 걸 참고 버티는 겁니다. 디스크 파열이 극심하고, 심지어 마비까지 있고, 또 병원에서 무조건 수술밖에 방법이 없다고 말하는 사람들이 근육재활치료로 어떻게 4주 정도면 좋아질 수 있는지 저희의 수많은 치료후기를 첨부 드리는 영상을 통해 보시길 바랍니다.
모커리 허리디스크 ABCDE 한·양방 협진 재활치료법은 수술 없이 허리디스크를 치료하는 모커리 고유의 비수술 치료방법입니다. 디스크 통증은 물론 수술을 권유 받을 정도의 마비와 힘 빠짐을 동반한 디스크 파열 등의 중증 허리디스크를 수술 없이 ABCDE 허리디스크 비수술 치료법으로 치료하고 있습니다. 모커리는 심하게 파열된 허리디스크 뿐 아니라 수술 후 재발한 허리디스크, 척추유합술 후 재발한 허리디스크 등의 어려운 척추 질환을 비수술로 치료하고 있으며, 이러한 ABCDE 치료법의 효과를 과학적, 객관적으로 검증하여 해외 유명학회 및 학술지 등에 지속적으로 발표하고 있습니다.

보다 많은 환자분들과 건강정보를 공유하고자 개방형 게시판으로 건강상담을 운영하고 있습니다. 목과 허리 통증•디스크•협착증•교통사고•어깨•무릎 등 궁금하신 질문을 남겨주시면 전문의가 최대한 자세하게 답변 드립니다.
| 제목 | |||||||||
|---|---|---|---|---|---|---|---|---|---|
|
|||||||||
|
|||||||||
|
|||||||||
|
|||||||||