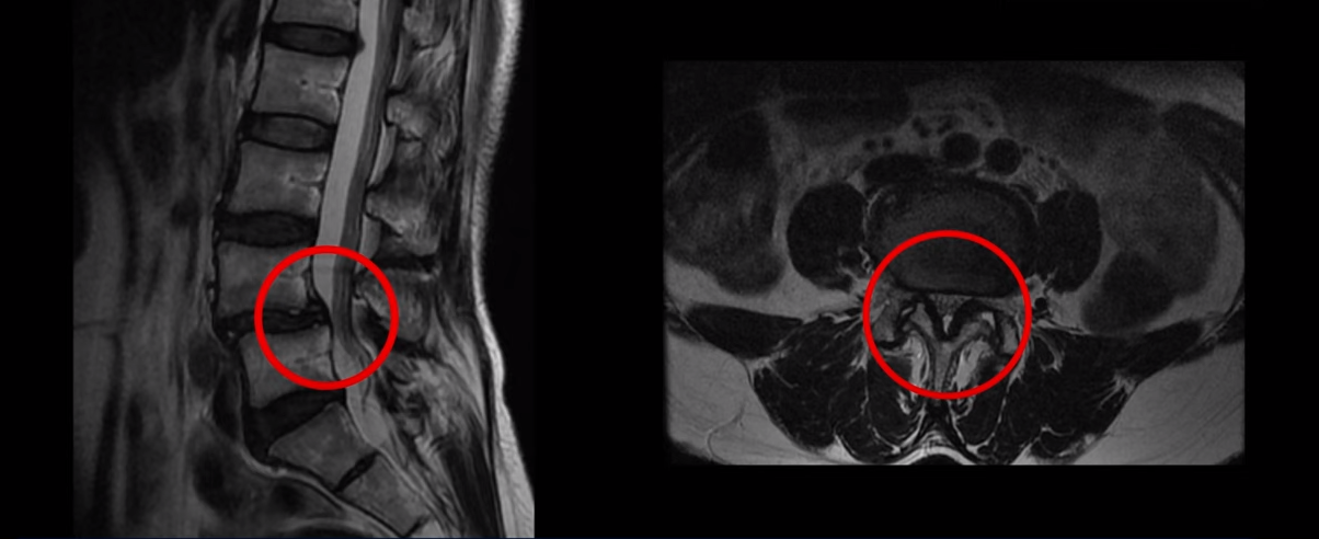
이 환자분은 MRI에서 보시다시피 4번 5번에 전방전위증이 있습니다. 전방전위증이 있는 분들은 디스크 문제나 협착증 문제를 동반하는 경우가 많은데 이분은 4,5번 디스크에 큰 문제는 없으시고 척추관이 약간 좁아져 있으나 다리 쪽의 증상은 전혀 없고, 오로지 만성허리통증만 있습니다. 3년 동안 허리가 심하게 아프신 상태입니다. 참고로 이분은 심하게 넘어지면서 엉덩이 근육 파열로 입원하신 상태에서 만성 허리통증 치료를 함께 받으셨습니다. 그런데 저희가 만성 허리통증이 있는데 ‘허리에 디스크가 보이든, 협착증이 보이든, 전방전위증이 보이든, 만약 다른 증상 없이 허리 통증만 있다면 그건 근육의 문제일 가능성이 매우 높다’고 여러 영상에서 설명 드렸습니다. 이분을 처음 진찰했을 때 허리 주변 근육들과 엉치 근육을 꼼꼼히 만져보았는데 역시 허리통증과 연관되어있는 중요한 근육들, 장요근, 요방형근, 기립근, 둔근이 모두 다 심하게 굳고 뭉쳐있었습니다.
만성 허리통증이 근육의 문제라면 충분히 휴식을 취하면서 아프고 뭉친 허리 주변 근육들을 하나씩 풀어주고 치료해 주면 허리 통증은 당연히 좋아지게 됩니다.
허리에 디스크, 협착, 전방전위 등 무엇이 보이든 다른 증상 없이 허리만 아프다면 이건 결국 근육문제 입니다. 즉, 뼈가 밀려 나가있어도, 디스크가 있어도, 협착이 있어도 근육 상태가 아프지 않고 좋으면 안 아플 확률이 매우 높습니다. 그래서 근육 재활치료가 중요한 겁니다.
근육 재활치료 방법은 한방 재활치료와, 또 필요하다면 양방 도수 운동 재활치료도 함께 진행할 수 있습니다. 그렇다면 이분의 허리 주변 근육들을 하나 하나씩 정성껏 풀어주었을 때 3년 된 만성 허리통증은 얼마나 빨리 좋아질 수 있을까요?
이렇게 척추전방전위증을 동반한 만성허리통증으로 3년간 고생하신 환자분의 치료 후 결과가 어떻게 되었을지 궁금하시다면, 아래 썸네일을 클릭해 모커리한방병원 홈페이지에 로그인하신 후 치료 후 결과 영상을 꼭 보시길 바랍니다.
모커리 척추전방전위증 ABCDE 한·양방 협진 재활치료법은 수술 없이 전방전위증을 치료하는 모커리 고유의 비수술 치료방법입니다. 척추전방전위증은 통증을 일으키는 원인인 디스크나 협착증 증상을 치료하는 것이 핵심인 만큼 모커리에서는 정확한 원인을 찾아 통증을 제거하는 비수술 치료를 진행하고 있으며, 유합술을 권유 받은 뼈가 2단계 이상 밀려나간 척추전방전위증도 ABCDE 치료법으로 수술 없이 치료할 수 있다는 것을 연구하여 학술지 등에 발표하고 있습니다.

보다 많은 환자분들과 건강정보를 공유하고자 개방형 게시판으로 건강상담을 운영하고 있습니다. 목과 허리 통증•디스크•협착증•교통사고•어깨•무릎 등 궁금하신 질문을 남겨주시면 전문의가 최대한 자세하게 답변 드립니다.
| 제목 | |||||||||
|---|---|---|---|---|---|---|---|---|---|
|
|||||||||
|
|||||||||
|
|||||||||
|
|||||||||