보건복지부지정
keyboard_tab
예약신청
- -
   [개인정보처리방침]

예약이 접수되면 상담원이 전화를 드려
예약을 확인해드립니다.

상담신청
- -
   [개인정보처리방침]

상담이 접수되면 전문 상담원이
직접 전화로 답변 드립니다.

척추클리닉

디스크 내장증
이상근증후군, 디스크내장증 진단? MRI는 심하지 않다는데 50, 60대 여성 중 앉아도 걸어도 누워도 허리 엉덩이 다리까지 아픈 환자들 치료방법
디스크내장증 의심환자 4명의 비수술 허리기능재활치료 이야기- 디스크내장증은 디스크의 문제가 아니라 신경주사로 호전되지 않으며 반드시 허리기능재활치료를 받아야 합니다.
디스크내장증은 잘못된 진단명입니다- 디스크가 아픈 게 아니고 섬유륜 파열도 아닙니다. 진짜 통증의 원인은?
디스크내장증 근육성방사통 허리기능재활치료후기- 허리, 엉덩이, 양쪽 다리통증과 저림, 아파서 앉을 수 없는 환자분
디스크내장증 근육성방사통 허리기능재활치료후기-앉아도 걸어도 누워도 아프고 24시간 양쪽 다리저림, 발저림이 있는 환자분
디스크내장증 진단을 받았다면 반드시 알아야 할 10가지
디스크내장증 근육성방사통 허리기능재활치료후기- MRI 와 일치하지 않는 양쪽 발저림 증상과 앉기만 하면 엉덩이와 허리가 아파 디스크내장증 진단을 받은 환자분
목디스크
목디스크란
목디스크 환자가
꼭 알아야 할 10가지
목디스크 초기증상 및 치료
목디스크 초기증상 및 자연치유
목디스크증상
목디스크파열
목디스크 파열 환자가 꼭 알아야 할 힘빠짐과 마비 증상, 체크하는 법
목디스크두통
목디스크자가진단(스펄링테스트)
목디스크자가진단(어깨외전테스트)
목디스크 치료방법
목디스크치료방법 - 목디스크에 신경주사만 계속 맞으신다고요?
목디스크치료방법, 한방에서 목디스크를 치료하는 방법과 증상이 좋아지는 원리
목디스크치료가 허리디스크치료
보다 더 쉽고 빠른 이유
목디스크 운동에 대해 꼭 알아야 할 5가지
목디스크에 좋은 운동
목디스크 운동 1. 도리도리 운동
목디스크 운동 2. 으쓱으쓱 운동
목디스크 운동 3.
짧아진 목 앞쪽 근육 늘리는 운동
목디스크 운동에 대해
꼭 알아야 할 8가지
목디스크운동 절대로
하지 말아야 할 3가지
목디스크병원 잘 고르는 법
목디스크, 목통증의 유일한 원인
목디스크 약화시키는 생활습관
목디스크 수면자세
목디스크 치료해도 낫지 않는 이유
목디스크운동 이거 하나로 끝낸다. 도리도리 운동 질문편
목디스크, 거북목, 일자목 목통증 환자의 통증을 유발하는 수면 자세와 교정법
목디스크증상, 목 주변의 뭉친 근육만 풀어줘도 증상이 좋아지는 이유와 목 근육 풀기 운동
이런 목디스크 환자는 금방 좋아질 가능성이 높습니다
목통증
목통증이란
경추통증 원인과 치료법
목과어깨통증
목통증 환자가 꼭 알아야 할 9가지
목근육통증
목근육통 치료해도 잘 안 낫는다면? 두 가지 가능성이 있습니다.
목통증과 두통 즉시
가라앉히는 스트레칭
목통증 치료에 가성비 정말 좋은 침 치료
목통증에 좋은 운동 3가지
잘 낫지 않는 만성 목통증, 근막통증증후군에 좋은 봉침치료법
뒷목통증에 대해 꼭 알아야 할 7가지
목에 담 걸렸을 때 혼자서 할 수 있는 목담 푸는 법 1편
목에 담 걸렸을 때 혼자서 할 수 있는 목담 푸는 법 2편
뒷목통증, 승모근 어깨통증, 근막통증증후군 치료해도 계속 재발하는 이유와 해결 방법
목통증이 허리통증보다 치료는 물론 관리나 운동이 훨씬 쉬운 이유는?
목통증, 목디스크 환자가 거북목자세 교정 하는 법
근막통증증후군에 대해 꼭 알아야 할 5가지
일자목/거북목
일자목
일자목교정과 관계없이 일자목통증은 치료할 수 있습니다.
일자목통증을 빠르게 해결 할 3가지 방법
일자목에 좋은 운동
거북목
거북목증후군 환자가
꼭 알아야 할 10가지
거북목교정에 대해 꼭 알아야 할
사실 3가지와 스트레칭법
거북목스트레칭
거북목자가진단
거북목베개, 일자목베개
고르는 법과 사용법
거북목교정 한 달 프로젝트
거북목교정, 일자목교정의 기본 중의 기본운동 1편 - 치맥 운동의 이론과 실전편
거북목교정, 일자목교정의 기본 중의 기본운동 2편- 거북목, 일자목 교정을 위한 마사지와 스트레칭법
거북목교정운동, 거북목스트레칭을 해도 거북목이 잘 교정되지 않는 이유
거북목교정운동, 거북목스트레칭 이거 하나로 끝낸다!
척수증
척수증
경추척수증 환자가 꼭 알아야 할 척수증 치료의 특징과 한방치료법
경추척수증, 목디스크로
오해하기 쉬운 척추질환
Myelopathy(경추척수증)에
대해 꼭 알아야 할 7가지
경추척수증 환자의 비수술 재활치료 후기, 젓가락질과 단추 끼우기가 어렵고 걸으면 발을 헛딛는 환자
경추척수증 환자의 비수술 재활치료 후기, 양손 마비와 보행 시 균형을 못 잡고 비틀거리는 환자
목디스크 파열과 경추척수증 근육 재활치료 후기, 신경주사 맞아도 계속 아픈 환자
경추척수증 환자 4명의 비수술 근육신경재활치료후기, 척수증에 꼭 수술만이 정답은 아닙니다.
경추관협착증
경추관협착증
허리디스크
허리디스크란
허리디스크 환자가 꼭 알아야 할 12가지
허리디스크 환자가 꼭 알아야 할 10가지
허리디스크 환자 살 빼는 법
허리디스크 증상
허리디스크자가진단(SLR테스트)
허리디스크 검사
허리디스크 통증, 하지방사통
허리디스크 초기증상 및 치료
허리디스크 초기증상 자연치유
허리디스크 자연치유 - 이론편
허리디스크파열 자연치유 - 실전편 1. 믿음갖기
허리디스크파열 자연치유 - 실전편 2. 회복기간 및 회복패턴 알기
서울 한방척추전문병원이 알려주는 허리디스크수술 신중히 결정해야 하는 이유
허리디스크 파열
허리디스크 파열 흡수되는 이유
허리디스크 파열 한방치료로 어떻게 좋아질까요?
허리디스크병원에서 알려주는 허리디스크 파열 시 힘빠짐과 마비 증상, 체크하는 법
허리디스크파열 됐을 때 한의사들은 수술 안 받나요
허리디스크 앉는 자세
허리디스크치료 한약 효과
허리디스크 운동 이야기 지금까지의 운동은 다 버려라
허리디스크에 좋은 운동
허리강화운동 10가지(디스크 급성기•회복기)
허리디스크운동 절대로 하지 말아야 할 3가지
허리디스크 운동, 수없이 많은 질문에 대한 답변
허리디스크 운동에 대해 잘못 알고 있는 이야기 - 허리디스크 급성기에 통증을 줄여주는 운동은 없다
허리디스크 생활습관
허리디스크 의자, 허리에 좋은 의자 고르는 법
허리디스크 치료해도 낫지 않는 이유
허리디스크 수술을 꼭 해야 하는 경우
퇴행성허리디스크 스테로이드 주사, 시술의 뜻밖의 부작용
허리디스크 악화시키는 생활습관
추간판탈출증 환자, 새우잠이 안 좋은 이유
추간판탈출증 무중력의자
추간판탈출증 재발 막는 방법, 요요를 조심해라
추간판탈출증 운동 1.스케이트 운동
추간판탈출증 운동 2.데스크 플랭크 운동
추간판탈출증 운동 3.허리 도리도리 운동
추간판탈출증 운동 4.걷기 운동
추간판탈출증 운동 5.허리 돌리기 운동
추간판탈출증 운동 6.골반 운동
추간판탈출증 운동 7.고관절•무릎 운동
추간판탈출증 운동 8.맨몸스쿼트 운동
추간판탈출증 운동 9.계단 오르기 운동
추간판탈출증 운동 10.모커리 슈퍼맨 운동
퇴행성허리디스크와 허리디스크탈출의 차이점
허리디스크, 척추관협착증 MRI만 보고 진단하면 안 되는 이유
허리디스크치료 - 허리디스크에 신경주사만 계속 맞으신다고요?
허리디스크 급성기에 운동으로 통증을 줄일 수 없는 이유와 운동을 해야 하는 시기
허리디스크 치료 받아도 잘 낫지 않는 이유 4가지
허리에 좋은 음식, 허리디스크·협착증에 좋은 음식 찾으신다구요? 이 음식을 꼭 섭취해야 합니다
추간판탈출증, 협착증 주사나 시술 후에도 심하게 아플 때 사람들이 많이 하는 3가지와 문제점
허리디스크치료, 근육을 꼭 치료해야 하는 이유
허리디스크치료가 끝난 후 자가관리 방법
허리디스크파열 회복 단계와 단계별 운동법
허리디스크는 어떻게 척추협착증으로 진행될까? 전조증상과 진행을 막는 방법
허리신경주사 꼭 맞아야 할 이유와 많이 맞으면 안 되는 이유
허리디스크 운동 불변의 법칙, 이 법칙을 따르지 않으면 여러분의 허리는 나빠집니다
허리디스크 허리통증 환자는 일반 스쿼트가 아닌 와이드 스쿼트를 해야 한다
자고 일어나면 아침에 통증이 극심한 허리디스크 환자가 매일 꼭 해야 하는 4가지 운동
허리디스크 협착증 신전운동에 대한 바른 이해
허리디스크가 오랫동안 낫지 않는 사람들의 이유와 해결 방법
허리디스크보존치료 오래해도 안 낫는 사람들, 도대체 무엇이 문제인가? 해결 방법은?
허리통증
허리통증이란
허리통증원인
급성허리통증
급성요추염좌
허리근육통
허리삐끗했을때
허리삐끗했을때 꼭 알아야 할 내용-허리가 삐는 것은 발목이 삐는 것과는 성격이 많이 다르다
갑자기 허리통증이 발생한 원인과 치료법
갑자기 허리통증 발생했을 때 꼭 알아야 할 7가지
디스크내장증
허리통증, 요통 치료 받아도 낫지 않는 이유 6가지
허리통증, 허리디스크 환자가 새우잠을 자면 안 되는 이유와 피하는 방법 3가지
만성요통(만성허리통증) 치료 받아도 잘 안 낫는 이유
만성요통(만성허리통증) 환자가 꼭 알아야 할 5가지
만성허리통증 환자가 반드시 조조강직감 증상 여부를 체크해야하는 이유
요통환자 10계명
허리아플때운동 1. 맥켄지 운동
허리아플때운동 2. 장요근 공 스트레칭
허리아플때운동 3. 둔근 공 스트레칭
허리아플때운동 4. 요방형근 공 스트레칭
허리아플때운동, 무조건 해야 되는 3가지
만성요통에 좋은 봉침치료법, 봉침이 효과를 발휘하는 이유
허리통증운동 1편 - 허리통증에 좋은 허리 앞쪽 근육 스트레칭
허리통증운동 2편 – 세상에서 가장 쉬운 엉덩이운동
허리통증운동 3편 - 엉덩이 근육을 강화하면서 고관절을 풀어주는 스트레칭
허리통증 환자가 매일 꼭 해야 하는 허리통증운동, 장요근 풀라공 운동
왼쪽허리통증, 오른쪽허리통증을 일으키는 4개의 근육 찾는 법과 운동법
좌골신경통
좌골신경통(허리디스크, 척추관협착증으로 인한 하지통증)
좌골신경통(근육으로 인한 하지방사통)
근육성좌골신경통, MRI상 원인을 찾을 수 없는 근육성 좌골신경통의 특징과 치료법
좌골신경통, 다리저림, MRI로도 알 수 없는 원인, 뭐가 문제고 어떻게 해결해야 되나?
MRI로 알 수 없는 양쪽 다리저림, 24시간 양쪽 발저림, 엉덩이 통증, 좌골신경통 환자의 근육재활치료 사례
신경주사를 맞아도 계속 아픈 허리통증, 엉덩이통증, 좌골신경통, 반드시 근육 문제를 의심해봐야 합니다.
근육 문제로 인한 좌골신경통, 다리저림, 양쪽 발저림, 엉덩이통증이 아주 많습니다. 치료방법은?
근육성 좌골신경통 재활 치료후기, 양쪽다리가 마비될 정도로 아프고 걷지 못하는 환자분
좌골신경통 비수술 치료후기, 앉으면 즉시 허리 엉덩이통증 누워도 양쪽다리가 심하게 저리는 환자분
척추관협착증
척추관협착증이란
척추관협착증 증상
척추협착증증상 초기/중기/말기
척추관협착증 초기증상 및 치료
척추관협착증 치료방법
척추협착증 한방치료 효과를 못 믿으신다구요? 이 내용을 보시면 믿게 됩니다.
척추협착증 말기 증상의 비수술 입원집중치료법
척추관협착증 수술
퇴행성척추관협착증을 일으키는 원인 3가지
퇴행성척추관협착증 수술 없이 치료가 되는 이유
척추협착증 말기 중증 환자가 입원치료를 받아야 되는 4가지 이유
협착증에 스테로이드 시술 효과가 떨어지는 이유
협착증 치료효과 논문
척추관협착증 환자가 꼭 알아야 할 12가지
협착증은 치료를 받든 안 받든 운동은 무조건 해야 한다
척추관협착증에 좋은 운동
척추관협착증에 좋은 운동 4가지
척추협착증에 좋은 운동- 걷기 운동법
척추관협착증 걷기 운동에 대해 꼭 알아야 할 8가지
척추협착증 운동, 걷기 운동을 잘못 하고 있는 환자들이 많습니다 - 걷기 운동 제대로 하는 법
허리협착증에좋은운동 5가지와 초기협착증
척추협착증 허리, 다리 근력 운동 1편
척추협착증운동-거꾸리운동
척추관협착증 반드시 피해야 할 4가지 운동
협착증에 맥켄지 운동 하면 안 되는 이유
허리협착증증세
허리협착증이 아니라 디스크라구요
허리디스크협착증
척추협착증 비수술치료 원리
척추협착증치료 후 허리펴짐
척추협착증 MRI와 임상증상
척추협착증 생활수칙 10가지
척추협착증 허리디스크 차이점
척추협착증수술 후 인접분절질환
척추협착증수술 부작용-척추수술실패증후군
척추협착증 한방치료 비용, 비싸다는 오해
협착증 치료, 이런 분들일수록 치료 효과가 훨씬 좋다
협착증이 아닌 디스크 환자가 협착증으로 오해하는 경우가 많이 늘고 있다
협착증 한방치료로 신경압박이 풀리는 눈에 보이는 증거가 있습니다
척추협착증 한방치료비용과 실손보험 잘 이용하는 법
허리디스크, 척추관협착증 MRI만 보고 진단하면 안 되는 이유
척추협착증 치료, 이런 논문을 못 믿으시면 뭘 믿고 치료를 받으시겠습니까?
척추협착증의 진행을 막는 8가지 방법
허리협착증의 진행을 막는 8가지 방법 중 자세히 1편 - 증상 변화에 세심한 관심을 가져야 한다.
허리협착증의 진행을 막는 8가지 방법 중 자세히 2편 - 증상이 악화됐다면 원인을 찾아야 한다.
추간공협착증이 진짜 척추관협착증보다 치료가 더 쉬운 이유
척추전방전위증을 동반한 척추협착증, 수술 없이 치료하는 방법
척추협착증 치료받을 때 뭘 믿고 치료 받으시나요?
허리디스크와 협착증이 같이 있다구요? 척추관협착증이 아닐 가능성이 매우 높습니다.
척추관이 좁아져 협착이 있어도 증상이 없는 사람이 많은 이유
척추협착증 치료 잘하는 곳 고르는 방법 5가지
척추협착증과 근감소증은 매우 밀접한 관계가 있습니다.
허리에 좋은 음식, 허리디스크·협착증에 좋은 음식 찾으신다구요? 이 음식을 꼭 섭취해야 합니다.
척추협착증, 퇴행성디스크, 척추전방전위증, 허리통증에 재활치료를 꼭 받아야 하는 이유
척추협착증운동, 눌린 신경을 풀어주는 누워서 하는 5가지 운동
척추협착증인데 한쪽 다리만 심하게 아프다구요? 협착증 증상이 아닐 수 있습니다.
허리협착증에 좋은 운동, 공 스트레칭 3가지
척추협착증 환자에게 좋은 뭉친 등 근육을 풀어주는 운동
척추관협착증과 허리디스크, 아침이 제일 아픈 이유와 해결 방법
협착증치료, 지난 20년간 협착증의 한방치료는 엄청난 발전을 이룩했다
척추협착증원인 2가지, 제대로 알아야 비수술치료가 가능한 이유를 알 수 있다.
허리협착증운동, 매일 반드시 해야 하는 이유와 5가지 운동
척추협착증 수술 없이도 치료가 가능한 이유 5가지
허리협착증치료 효과, 임상시험과 7년의 연구를 통해 밝혀진 재활치료 효과와 국제학술지 논문 발표
척추관협착증이 수술 없이 좋아질 수 있는 이유
허리협착증증세 완화에 도움 되는 4가지 운동, 4주간 꾸준히 하면 증상이 완화됩니다.
척추협착증운동 – 둔근(엉덩이 근육) 공 스트레칭
척추관협착증 증상 완화에 좋은 공운동 – 요방형근
척추분리증
척추분리증이란
척추분리증 환자가 꼭 알아야 할 7가지
척추분리증 운동
척추전방전위증
척추전방전위증이란
척추전방전위증 환자가 꼭 알아야 할 10가지
척추전방전위증에 대한 오해와 진실 5가지
척추전방전위증 운동
요추전방전위증, 척추분리증에 좋은 운동-데스크 플랭크 운동
척추전방전위증 치료
척추전방전위증이 수술 없이도 치료되는 이유 4가지
척추전방전위증 환자들이 가장 많이 묻는 질문 10문 10답
척추유합술 후 재발치료
척추유합술 후 재발치료
척추협착증수술(척추유합술) 후 인접분절질환
척추협착증수술 부작용-척추수술실패증후군
척추 운동법
목디스크에 좋은 운동
일자목에 좋은 운동
허리디스크에 좋은 운동
허리통증에 좋은 공운동법
척추관협착증에 좋은 운동
척추분리증에 좋은 운동
척추전방전위증에 좋은 운동
섬유근육통
섬유근육통치료에 쓰는 항경련제, 항우울제와 한방치료의 효과
섬유근육통 진단에 대해 꼭 알아야 할 7가지
섬유근육통증상과 진단의 중요성
섬유근육통은 아픈 곳을 직접 치료해야 좋아집니다.
수술 후 통증·재활
근위경골절골술, 줄기세포치료 후 한·양방 협진 재활치료
무릎인공관절수술 후 재활치료
서울재활병원 강남 모커리한방병원에서 알려드리는 무릎인공관절수술 후 꼭 해야 하는 무릎재활운동
척추수술 후 통증치료
척추수술 후 재활치료
척추유합술 후 통증, 척추수술 후 통증증후군에 좋은 재활치료
협착증 수술 후 남아 있는 다리저림, 왜 반드시 재활치료 해야 할까요?
척추수술 후 통증증후군, 허리디스크 파열 척추유합술 후 새로 생긴 방사통과 마비 근육재활치료
근육파열
엉덩이 근육파열과 고관절 통증에, 특별한 방법이 없으니 집에서 쉬라고만 들은 환자의 재활치료 사례

디스크내장증 근육성방사통 허리기능재활치료후기-허리와 엉덩이가 아파 앉을수가 없고 양쪽다리가 저리고 아픈 환자분

“5분도 앉아 있기 힘들었고 앉아 있을 때 양쪽 발저림이 있었어요”

한 5분도 앉아 있기 힘들었죠. 심할 때는 그냥 앉자마자 엉덩이부터 저려서 앉아 있을 때가 최악이어서 아무것도 앉아서는 못 했죠. 밥도 서서 먹고. 그리고 앉아 있을 때 저림이 발가락까지 오더라고요. 오른쪽이 더 심하긴 했는데 왼쪽도 같이 오고. 문제는 아프다고 계속 누워 있었거든요. 한 거의 2개월을 누워 있었더니 근육이랑 살이 다 빠져 갖고 더 아픈 거예요.

“걸을 때도 발가락이 쪼이는 느낌이 있었고 걷는 것도 불편했어요”

걸을 때도 엄지 발가락이 약간 쪼이는 느낌, 엄지발가락에 피 안 통하는 느낌이 있었고 아팠어요. 오른쪽이 더 심하긴 했는데 왼쪽도 양쪽 다 느껴졌어요. 앉는 것도 불편하고 걷는 것도 불편했어요.

“누워 있을 때도 양쪽 발이 다 저리고 아파서 잘 못 잤어요”

누워 있을 때도 엄청 아팠어요. 누워 있어도 저리고, 옆으로 누워도 아프고, 가만히 있어도 아프고 진짜 계속 아팠어요. 양쪽 다 발이 저렸어요. 오른쪽이 더 심하긴 했는데 그래도 양쪽 다 아팠어요. 허리랑 다리랑 같이 아프기 시작하면서 잘 때 욱신욱신해서 잘 못 잤어요.

“허리가 안 좋아서 필라테스를 몇 회 하다 보니까 허리가 더 아프고 다리까지 저리게 됐어요”

거의 1년 반 정도 됐는데 원래 조금 허리가 안 좋아서 필라테스를 등록해서 몇 회 하다 보니까 허리가 더 아픈 거예요. 갑자기 다리까지 저리고, 양쪽 다리가 저리고 허리가 아파서 뭔가 이제 큰일이 났다 싶었죠.

“근육이 너무 없어서 그런가 하며 운동에 더 매달렸는데 오히려 운동하고 증상이 더 악화되더라고요”

처음에는 이제 근육이 너무 없어서 그런가 하며 그래서 운동에 더 매달렸죠. 허리에는 주변에서는 무조건 운동이다, PT 받아야 된다 해서 운동을 더 했는데 어느 순간부터 더 악화되는 거예요. 그래서 이게 뭐지? 운동이 답이라고 생각하고 운동을 엄청 열심히 했는데 계속 악화되니까 그때는 좀 멘탈이 붕괴되더라고요.

“여러 병원들에서 말이 다 달랐어요. 어느 병원에서는 디스크내장증인 것 같고 인공디스크를 삽입하는 수술까지 얘기했어요”

대학병원에서는 디스크가 있으니 자세 교정하라고 했어요. 그리고 어떤 다른 병원에서는 디스크내장증인 것 같고 ‘이건 어려운 병이고 모호하다’ 이런 경우가 흔하진 않은데 시술이나 아니면은 인공디스크를 삽입하는 경우도 있다, 이렇게 옵션을 말씀해 주시더라고요. 인공디스크나 인공디스크 수술 그런 걸 말씀 하시길래 겁먹었고 또 다른 병원에서는 디스크 증상이랑 다리 아픈 거랑 연관이 안 된다, 신경정신과를 가보라는 말을 듣고 막 울었죠. 내가 느끼는 거는 진짜 아프고 진짜 거짓말이 아닌데 여러 병원에서는 그런 말을 하시니까.

“가는 병원마다 신경주사를 맞았어요. 2년에 걸쳐 10번 정도 받았는데 주사효과가 하나도 없었어요”

신경주사는 한 2년에 걸쳐서 10번 엄청 많이 받았죠. 왜냐하면 가는 데마다 무조건 3번 정도는 맞아야 된다. 만성으로 번지면 더 악화되고 더 위험하니까 미리 초반에 잡는 게 중요하다고 말씀하셔서. 이 병원, 저 병원 다니다 보니까 “우리 병원에서 한번 맞아보자. 내가 신경주사 놓으면 좀 다를 수가 있다” 이제 이런 식으로 말씀하시니까. 저는 주사효과는 하나도 없었어요.

“신경주사 효과가 없어도 절박하니까 계속 맞았어요”

빨리 급한 불을 꺼야 되는데 조급함이 컸죠. 그냥 동네 병원 가서 주사 맞자고 하니까 그러면 증상이 없어진다고 금방 하루 이틀이면 낫는다고 하니까 신경주사 효과가 없으니 이제 시술을 해야 되나 수술 해야 되나 이런 생각을 하는 거죠. 고주파 신경성형술이고 그런 거. 뭐 병원에서 시술하면 나을 수도 있다. 근데 장담은 못 한다. 이런 얘기를 들으니까 더 불안하고 그래도 나는 막상 아프니까 뭐라도 하고 싶고 그랬어요.

“우연히 모커리 치료후기를 보게 됐는데 저랑 증상이 비슷한 분들이 계셔서 영상을 보고 오게 됐어요”

허리 운동, 비수술 이런 거 검색해 보다가 우연히 치료후기 영상 하나 떴더라고요. 그래서 치료후기들을 봤는데 증상이 비슷한 분들이 계셔서 설마, 근데 한방병원이라고 하니까 솔직히 저는 한방병원은 어르신들이 가는 데라고 생각해서 설마 했는데 이제 젊으신 분들도 계시고 저랑 증상이 비슷한 분들도 있고 저는 어차피 더 이상 할게 없으니까 그래서 솔직히 반신반의 하며 모커리에 연락하게 됐죠. 왜냐하면 모커리 비수술 치료밖에 옵션이 없었잖아요. 할 거 운동도 해보고, 병원도 가보고, 체형 교정 같은 것도 받아보고 이것저것 많이 해봤는데 되는 게 아무것도 없으니까 지푸라기라도 잡는 심정으로 왔죠.

저희 모커리한방병원은 디스크내장증은 정말 잘못된 진단이며 디스크 문제가 아닌 허리 기능의 문제, 특히 근육, 인대, 힘줄의 경직이나 미세한 손상에 의한 기능적 이상이 원인이고 굳이 현존하는 진단명에서 찾는다면 아주 심한 형태의 근막통증증후군에 훨씬 더 가깝다고 말씀 드리고 있습니다. 그래서 혹시라도 디스크내장증 진단을 받으신 분들은 자세히 보시면서 왜 아픈 건지, 치료는 어떻게 하고 관리는 어떻게 해야 하는 건지 자세히 보시길 바랍니다.

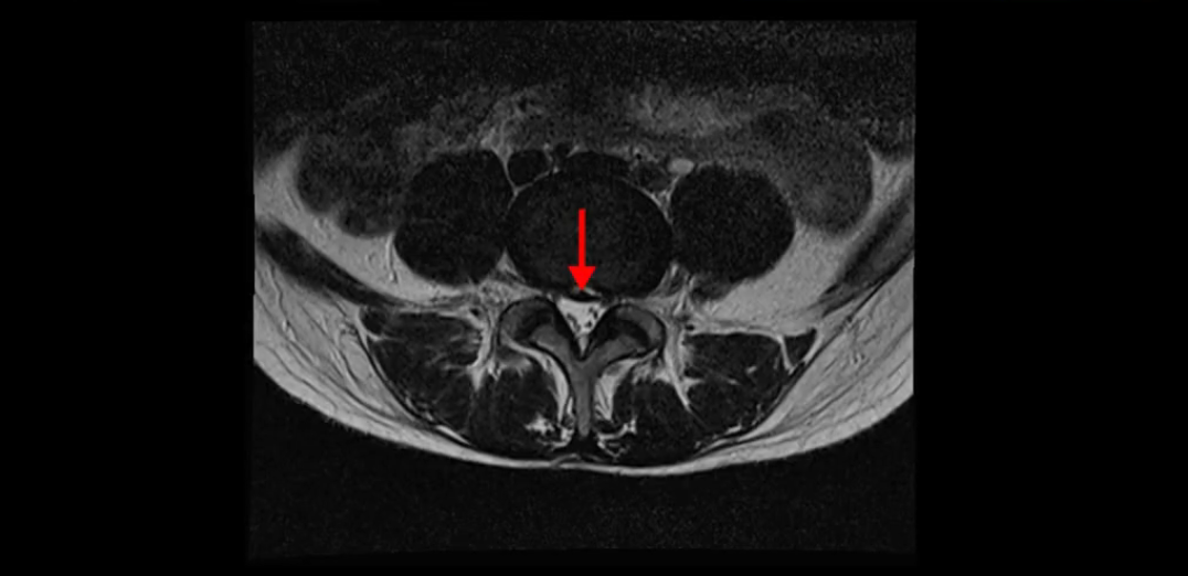
우선 이분의 MRI를 보고 먼저 설명을 드린 후 이런 환자분들의 통증의 원인은 무엇인지, 그리고 치료는 어떻게 해야 하는지 자세히 설명 드리겠습니다.

이분 MRI를 보시면 두 마디의 퇴행성디스크가 있습니다. 그리고 디스크가 조금씩 밀려 나와 있고요. 그런데 디스크 탈출 정도는 두 마디 다 심하지 않습니다. 4번 5번에는 디스크 탈출이 약간 있고,

척추관협착도 약간 진행이 되고 있고요.

5번 1번은 디스크 탈출이 가운데 쪽으로 살짝 있습니다.

또한 양쪽 신경 가지가 빠져나가는 추간공은 매우 넓은 상태입니다.

중요한 것은 이 정도 경미한 탈출과 협착으로는 양쪽 다리가 저리고 아플 수가 없습니다.

그리고 만약에 이 디스크가 급성으로 찢어진 것이라면 아주 심한 디스크성 통증이 있겠죠. 기침이나 재채기를 하면 심하게 아프고 허리를 조금만 구부려도 아주 날카로운 통증들이 생길 겁니다. 그런데 이분은 이런 증상이 전혀 아닙니다. 디스크의 돌출 정도와 협착이 전혀 심하지 않기 때문에 이분이 가지고 계신 양쪽 다리 저림, 특히 이분은 누워있을 때도 양쪽 다리가 저리다고 하는데, 디스크 때문에 그런 증상은 생길 수가 없습니다. 또 이 디스크는 오래된 디스크, 이미 찢어진 섬유륜이 아문 디스크이고, 그러니까 이분은 기침이나 재채기를 못하는 증상이 없는 거죠. 그 다음에 허리를 구부릴 때 뻐근한 증상은 있지만 아주 날카로운 통증은 없습니다.

이처럼 이분의 가벼운 디스크 탈출은 이미 오래 전에 진행되었고 섬유륜 자체는 이미 아문 상태인데도 디스크내장증을 진단받은 환자들 중에는 본인이 섬유륜 파열 환자라고 끝까지 믿는 분들이 많습니다. 다시 말하지만 디스크내장증이라는 진단을 받은 환자들 거의 대부분 섬유륜 파열 증상이 아닙니다. 진단이 잘못되면 어떤 치료를 받아도 좋아질 수 없습니다. 그럼 이분은 다른 여러 병원에서 어떤 얘기들을 들었을까요?

이분은 대학병원에서는 그냥 디스크다, 디스크성 통증이다. 이런 얘기만 들었고, 다른 어떤 병원에서는 디스크내장증이다, 결국은 치료를 하려면 인공디스크로 바꾸는 수술을 해야 된다라고 들으셨습니다. 인공디스크 수술, 그러니까 디스크를 없애고 새로운 인공디스크를 넣자라고 얘기하는 거라 유합술을 하자는 것과 거의 같은 얘기입니다. 또 어떤 병원에서는 이렇게 얘기합니다. 지금 가지고 있는 증상은 이 디스크로 인한 증상이 아니다, 이 디스크와 양쪽 다리가 저리고 아픈 것과는 매칭이 안 된다. 즉 디스크가 통증의 원인이 아니라는 것이죠. 또 어떤 병원에서는 신경 정신과를 가봐라라고 했다고 합니다. 그 병원도 이분의 MRI와 다리 증상이 연관이 안 되기 때문에 다른 정신과적인 문제가 원인일 거라는 얘기를 한 겁니다.

그럼 MRI를 봤으니까 이제 이 환자의 증상은 실제 왜 생기고 어떤 문제 때문에 아픈지에 대해서 차분히 설명을 드리도록 하겠습니다. 이 환자분의 진짜 통증의 원인은 무엇일까요? 이건 디스크의 문제가 아닙니다. 이 환자분의 진짜 통증의 원인은 허리의 기능이 완전히 무너진 겁니다. 허리의 기능 중에 가장 중요한 부분을 차지하는 게 근육인데, 일단은 근육 상태가 매우 좋지 않습니다. 그건 뭘 보고 알 수 있냐면, 이분은 앉지 못하고 양쪽 다리가 저리는 증상 발병 이전에도 아주 오랫동안 항상 허리가 뻐근하고 좋지가 않은 상태였습니다. 아주 오랜 기간 허리가 뻐근하고 안 좋은 상태였는데, 1년 반 전 어느 날 무리한 근력 운동을 한 후에 허리와 근육의 기능적인 문제가 한계선을 넘어가니까 더 심한 증상들이 쏟아져 나오는 거죠.

허리 기능의 가장 중요한 부분이 허리를 지탱하는 건데, 우리 허리가 가장 부담을 받는 자세가 앉는 겁니다. 그래서 이렇게 허리 기능이 무너지고 망가진 환자들의 가장 첫 번째 중요한 증상이 앉지를 못하는 겁니다. 앉을 때 허리가 지탱을 해줘야 되는데 지탱을 하지 못하니까 허리나 엉덩이가 아프고 다리까지 저린 것이죠.

이분 MRI를 보시면 퇴행성디스크가 있고 약간의 협착이 있지만 이 정도의 퇴행성디스크와 협착으로는 신경이 눌려서 양쪽 다리가 저리고 아픈 증상이 나올 수가 없습니다. 그래서 MRI와 이 환자분의 다리 증상이 매치가 안 된다고 하는 의사들이 많은 겁니다.

이 환자분의 통증의 진짜 원인이 허리의 기능성 문제라고 하는 부분은 사실은 이분의 치료 과정에서 완벽하게 드러납니다. 저희는 이런 환자분들의 문제는 허리의 기능이 완전히 무너진 것이기 때문에 어떻게 치료를 해야 되냐면, 일단은 무조건 쉬어줘야 됩니다. 근데 계속 누워서 쉬기만 하면 허리 기능이나 근육이나 근력이 더 약해지겠죠. 그래서 아주 가벼운, 최소한의 허리 기능과 근력과 근육을 유지할 수 있는 정도의 운동을 해줘야 합니다. 그리고 기능이 살아나는 만큼 그 운동의 강도도 늘려갈 수 있는 겁니다.

근데 이 환자분이 어떤 말씀을 하냐면, 평소에도 이 환자분은 본인의 근육이 약하다고 느끼고, 또 주변에서도 많이 얘기를 들어서 꾸준하게 운동을 합니다. 어떤 운동을 했겠습니까? 당연히 근력 운동을 했죠. PT도 받고 이런저런 근력 운동을 인터넷이나 유튜브를 보고 따라 합니다. 그럼 어떻게 되겠습니까? 허리 기능이 완전히 무너진 상태에서 근력운동을 하니까 더 아프고, 또 쉬면 좋아지고.. 이걸 1년 반 동안 반복하는 겁니다.

근데 이런 양쪽 다리 방사통을 느끼는 분들이 가진 공통적인 특징이 있습니다. 저희가 수많은 이러한 증상의 환자분들을 치료하면서 알게 된 내용인데, 10명 중에 9명은 예민합니다. 그 예민하다는 게 어떤 의미냐면 이런 환자분들이 일단은 빨리 좋아져야 된다, 지금 당장 무언가를 해서 빨리, 그리고 완벽하게 모든 증상이 사라져야 된다는 생각이 매우 강합니다. 그래서 치료를 받든지 운동을 하든지 무언가를 계속 빨리 해야 한다는 강박증이 있습니다. 그 강박증 때문에 편하게 쉬지 못하는 특징들을 가지고 있습니다. 그럼 이미 어떻게 해야 좋아질지 해결책이 나오지 않았습니까?

이런 환자분들은 일상생활을 완전히 중단하고 푹 쉬게 한 상태에서 허리의 근육이나 근력 기능이 떨어지지 않도록, 또 서서히 기능을 회복시키는 아주 가벼운 운동들을 해줘야 합니다. 그리고 허리 기능과 근육 기능이 떨어졌다는 얘기는 허리, 골반 주변의 근육들이 심각하게 뭉치고 굳고 불균형이 생겼다는 얘기입니다. 그래서 매일 4회 이상 그 근육들을 한방, 양방의 다양한 치료방법으로 풀어주고 쉬고 가볍게 운동하고를 반복하는 겁니다. 굳어있고 뭉치고 뒤틀린 근육들이 풀리고 가벼운 재활운동을 통해 허리의 기능이 회복되면 통증도 줄어들고, 앉아있을 수 있는 시간도 늘어납니다. 보통은 1~2주 정도 지나면 근육치료와 휴식의 효과, 재활운동의 효과가 나타나면서 허리가 편해지기 시작하고, 4주 정도 되면 통증이 많이 좋아지면서 치료가 끝납니다.

그런데 중요한 건 뭐냐면, 이런 분들이 통증이 발병하고 나서 6개월이건 1년이건 어떤 치료를 받건 단 한 번도 이 정도의 호전 효과를 본 적이 없다는 겁니다. 이분 역시 통증이 나타난 지 1년 반이 됐습니다만, 그 어떠한 치료를 받아도 호전 효과를 보지 못했다고 하셨습니다. 그러면 어떠한 치료를 받든 어떤 운동을 했든 이 정도 수준의 호전 효과를 보이지 않았다면, 저희가 얘기하고 있는 허리 기능이 망가져서 이러한 증상이 나온다가 맞는 것 아닙니까? 이 환자분은 이런 얘기를 합니다. ‘나는 한 번도 편하게 쉬지를 못했다. 왜냐하면 운동이나 치료나 무언가를 빨리 하지 않으면 허리가 더 약해질 것 같고, 그러면 허리가 영영 더 좋아질 수 없을 것 같다’라는 그런 강박이 있었다구요.

본인의 몸을 한시도 편하게 내버려 두질 않고 계속 괴롭히고, 그나마 좀 쉴 때도 강박 때문에 단 한 번도 맘이 편한 적이 없었다고 얘기합니다. 디스크내장증을 진단받은 환자들이 이걸 깨닫는 게 회복할 수 있는 유일한 길입니다. 그런데 대부분의 환자는 어떻게 합니까? 계속 기능이 떨어진 허리를 가지고 운동하고 자극적인 치료를 하고 괴롭히고 또 아프니까 어쩔 수 없이 쉬었다가 조금만 좋아지면 또 자극적인 치료를 받고 또 운동을 해서 허리를 혹사시키고 다시 아프고… 이걸 무한 반복하고 있는 겁니다.

이 환자분은 4주 입원치료하고 퇴원하셨는데, 이분의 치료 결과는 어떻게 됐을까요? 말씀 드린 대로 통증이 1년 반 만에 처음으로 상당부분 좋아지셨을까요? 본인이 문제점이 뭐라는 걸 확실히 깨닫고 앞으로 관리나 운동을 잘할 수 있는 자신감이 생겼을까요? 이분의 치료 후 결과가 궁금하시다면 아래 영상을 꼭 보시길 바랍니다.

디스크내장증 의심 환자의 비수술 허리기능재활치료이야기

▼앉으면 즉시 허리 엉덩이통증 좌골신경통 치료후기, 비수술치료 완쾌 58번째 이야기▼
▼근육문제로 인한 양쪽 다리저림 재활치료 후기, 비수술치료 완쾌 24번째 이야기▼
▼척추협착증과 디스크로 많이 오진되는 근감소증 근육재활치료후기, 비수술치료 완쾌 29번째 이야기▼
▼ 근육문제, 근육이 원인인 양쪽 다리저림 재활치료 후기, 비수술치료 완쾌 17번째 이야기▼

모커리한방병원 디스크 내장증 ABCDE 한·양방 협진 재활치료법

모커리 디스크내장증을 진단 받은 환자분들의 대부분은 허리 기능이 약화되어 있고 근기능 이상이 있게 때문에 허리기능을 재활하는 치료가 필요합니다. 활동량과 운동량을 줄이고 충분히 쉬며 한·양방 협진 복합 재활치료 및 가벼운 재활운동도 진행합니다.

모커리한방병원 온라인 진료예약