
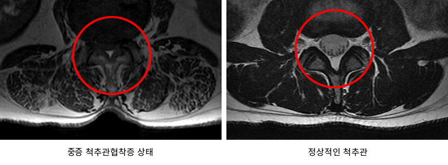
나이가 들면 우리의 몸도 같이 나이가 들게 됩니다. 우리 몸을 지탱해주는 척추 또한 나이를 먹으면서 퇴행되어 기능이 떨어지고, 약해지게 됩니다. 이러한 퇴행으로 인해 발생하는 대표적인 척추질환이 척추협착증입니다. 척추협착증은 척추를 둘러싸고 있는 근육과 인대가 퇴행되어 제 기능을 하지 못하게 되면서 척추관 내 황색인대가 비정상적으로 부풀어 오르게 됩니다. 척추관 내 황색인대가 부풀어 오름에 따라 척추관의 공간이 줄어들게 되면서 신경을 압박하게 되는데, 그로 인해 통증이 발생하는 질환입니다.
척추관 내 황색인대가 부풀어 오르는 이유는 우리 몸을 지탱하기 위해서입니다. 퇴행이 진행되면 척추를 비롯하여 척추 주변의 근육과 인대, 디스크 등도 퇴행이 되면서 기능이 떨어지고, 약해지게 됩니다. 척추를 지탱하는 근육과 인대, 디스크 등의 구조물들이 약해지게 되면 우리 몸은 어떻게든지 이를 지탱하기 위해 노력을 하게 되는데, 이 과정에서 황색인대의 몸집이 굵어지고, 단단해지면서 척추관을 좁아지게 만듭니다.

척추관협착증 환자들을 살펴보면 대부분 허리가 굽어 있는 경우가 많습니다. 이처럼 척추관협착증 환자들의 대부분이 허리가 굽어 있는 이유는 통증 때문입니다. 척추관협착증은 허리를 숙이면 좁아져 있던 척추관이 일시적으로 넓어지게 되면서 통증이 완화되는 것을 느낄 수 있습니다. 그래서 척추협착증 환자분들은 본인도 모르게 허리를 숙여 통증이 줄어드는 자세를 취하는 것입니다. 이에 가장 대표적인 예가 꼬부랑 할머니입니다. 과거에는 척추관협착증을 꼬부랑병이라고 부르기도 했습니다.

척추협착증이 허리를 굽게 만드는 질환이라고 생각하는 분들이 있습니다. 하지만 척추협착증은 허리를 굽게 만드는 질환이 아닙니다. 환자분들이 허리가 굽어 있는 이유는 앞서 설명했듯이 허리를 숙이면 통증이 완화되기 때문에 자연스럽게 허리를 숙이는 것뿐입니다. 하지만 누구도 허리를 숙이고 있는 것이 편한 사람은 없습니다. 허리를 숙이는 구부정한 자세를 취해야만 통증이 완화되기 때문에 어쩔 수 없이 구부정하게 다니는 것뿐입니다. 따라서 척추관협착증으로 인해 굽어진 허리는 척추관협착증을 치료하여 통증이 완화되면 허리를 숙일 필요가 없어지므로 자연스럽게 허리를 펴게 됩니다.
척추관협착증 치료의 핵심은 약해진 근육과 인대의 기능을 최대한으로 끌어올려 통증이 줄거나 없는 날들이 더 오래 유지되도록 도움을 주는 것입니다. 척추협착증 환자들은 매일매일의 통증이 다 같은 강도로 나타나는 것은 아닙니다. 아무리 심한 척추협착증 환자라도 1년 365일 같은 통증을 호소하지는 않습니다. 척추협착증 환자는 그날의 날씨, 수면의 질, 기분 등 다양한 요인에 따라 통증이 심하게 나타나는 날이 있고, 덜한 날들이 있습니다. 날씨가 좋고, 컨디션이 좋은 날에는 통증 없이 간단한 산책 정도는 할 수 있습니다. 반면 무리한 활동을 했거나 컨디션이 좋지 않을 경우에는 통증이 더 심해지기도 합니다. 이처럼 통증의 차이가 있다는 것은 우리 몸의 근육과 인대가 퇴행되어 약해졌다 하더라도 기능은 아직 살아있다는 것을 의미합니다.
따라서 이처럼 어느 정도 남아있는 근육과 인대의 상태를 좋게 만들어주는 치료를 진행하면 큰 문제 없이 생활할 수 있는 날들이 많아지고, 통증 없이 걸을 수 있는 거리도 증가할 수 있습니다. 실제로 치료 후 쥐가 나지 않거나, 허리나 다리가 뻣뻣하지 않고 부드럽게 유지된다면 이는 근육과 인대의 기능이 회복되었다는 것을 의미합니다.
간혹, 통증의 차이가 있는 것을 어떤 날은 좁아진 척추관이 넓어졌다가 어떤 날은 다시 좁아지는 것은 아닐까 하는 의문을 가질 수 있습니다. 하지만 아닙니다. 좁아진 척추관은 시간이 지난다고 해서 넓어지지 않을뿐더러 더 좋아지지도 않습니다. 또한 퇴행되어 부풀어 오른 황색인대도 원래의 크기로 되돌아가지 않습니다. 즉, 좁아진 척추관을 넓히지 않음에도 증상 개선이 가능한 이유는 척추를 지탱하는 근육과 인대에 있습니다.
척추관협착증이라는 질환은 지속적으로 다리 근력이 떨어지면서, 다리와 엉덩이 근육도 위축되는 성격이 아주 강한 질환이기 때문입니다. 그래서 꾸준한 운동을 통해서 근력과 근육을 유지해줘야 합니다. 이 근력과 근육을 유지하지 않으면 종국에는 걸을 수 있는 근력 자체가 극도로 떨어져서 못 걷게 돼버립니다. 그래서 실제로 협착증의 가장 심한 단계까지 가신 분들을 보면 아픈 것 보다는 근력이 떨어지고 근육이 위축돼서 아예 걷질 못하게 되는 게 제일 큰 문제입니다.
모커리 척추관협착증 ABCDE 한·양방 협진 재활치료법은 수술 없이 협착증을 치료하는 모커리 고유의 비수술 치료방법입니다. 한쪽 다리의 통증만 있는 초기 협착증부터 다리에 힘이 빠지고 몇 걸음 걷지 못하는 말기 협착증까지 ABCDE 척추관협착증 비수술 치료법으로 치료하고 있습니다. 모커리는 수준 높은 임상연구를 통하여 말기 협착증 환자가 ABCDE 재활치료로 통증 없이 걷는 거리가 11배 증가했다는 것을 과학적으로 객관적으로 증명하여 국제학술지에 논문을 발표했습니다.


모커리한방병원의 이완추나는 미국 메이요클리닉과 공동연구를 통해 ‘중증 척추관협착증 환자가 한방치료 후 통증 없이 걸을 수 있는 보행거리가 11배 이상 증가하였다’는 한방치료 효과에 대한 논문을 발표하였습니다. 이미 국제 유명 의학학술지(Journal of Pain Research)에 게재된 만큼 한방치료 효과의 유효성과 안전성을 입증하였습니다. 그뿐만 아니라 모커리 이완추나는 척추뼈가 50% 밀려난 전방전위증 환자, 디스크 파열이 심한 환자, 척추유합술 후 재발된 환자 등 고난도 척추질환에 적용 가능합니다.
객관적으로 검증된 모커리 한방치료 자세히 보기 >
척추관협착증 비수술 재활치료후기, 심한 협착증으로 다리가 가늘어지고 걷지 못하는 환자
척추관협착증 비수술 재활치료후기, 세 마디의 심한 협착, 세 번의 수술을 권유 받은 환자
척추관협착증이 수술 없이도 치료 가능한 5가지 이유
협착증 환자가 반드시 매일 꼭 해야 되는 4가지 운동
척추관협착증 임상시험과 7년의 연구를 통해 밝혀진 재활치료 효과 국제학술지 논문 발표
척추관협착증에 재활치료를 꼭 받아야 하는 이유
척추관협착증 환자가 꼭 알아야 할 12가지
척추협착증 한방치료 효과를 못 믿으신다구요? 이 내용을 보시면 믿게 됩니다.
협착증 한방치료로 신경압박이 풀리는 눈에 보이는 증거가 있습니다.
척추전방전위증을 동반한 척추협착증, 수술 없이 치료하는 방법
척추관협착증의 진행을 막는 8가지 방법
허리디스크, 척추관협착증 MRI만 보고 진단하면 안 되는 이유
허리협착증이 아니라 디스크라구요
척추관협착증 한방치료비용과 실손보험 잘 이용하는 법
척추관협착증 환자가 치료 여부에 상관없이 운동은 무조건 해야하는 이유
더보기 >
보다 많은 환자분들과 건강정보를 공유하고자 개방형 게시판으로 건강상담을 운영하고 있습니다. 목과 허리 통증•디스크•협착증•교통사고•어깨•무릎 등 궁금하신 질문을 남겨주시면 전문의가 최대한 자세하게 답변 드립니다.
| 제목 | |||||||||
|---|---|---|---|---|---|---|---|---|---|
|
|||||||||
|
|||||||||
|
|||||||||
|
|||||||||