“다리에 마비가 오고 발목에 힘이 빠져 걷지 못했습니다. 신경주사도 많이 맞아봤지만 단 1%도 효과가 없었고, 대학병원을 포함한 여러 병원들에서 수술 권유를 받았지만 어려운 수술이라고 하면서 병원마다 제시하는 수술 방법이 다 달라 혼란스러웠습니다”
먼저 이 환자분에 대한 치료 전 MRI 상태를 설명 드린 후 환자분의 얘기를 직접 들어보겠습니다.
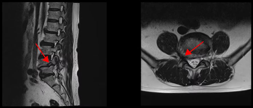
<4-5번 추간공협착증>
<4-5번 척추전방전위증>
<5-1번 디스크 파열>
이 환자분은 요추 4-5번 오른쪽에 심한 추간공협착증, 2단계의 전방전위증이 있으며, 특히 전방전위증으로 인해 추간공이 매우 좁아져 있습니다. 또 요추 5-1번 왼쪽에 디스크 파열이 있습니다.
이 분은 심한 협착으로 인해 다리에 마비가 와서 다리를 절고, 거의 걷지 못하는 상태였습니다. 신경주사도 많이 맞아봤지만 전혀 효과를 보지 못해서 결국 수술을 결심하고 대학병원 등 아홉 군데의 병원에서 진료를 받았으나, 어려운 수술이라고 하면서 병원마다 제시하는 수술방법이 다 달라 큰 혼란을 겪으시고는 마지막이라는 생각으로 모커리에 내원하신 환자분이십니다. 환자분의 얘기를 직접 들어보시죠.
심한 협착으로 인해 다리에 마비가 왔고, 발목에 힘이 빠져 거의 걷지 못하는 상태가 됐습니다. 새벽에 잠에서 깨 화장실을 갈 때는 네 발로 기어갈 정도였습니다. 제 모습을 보고 아내가 펑펑 울 정도로 심각한 상태였죠. 신경주사도 많이 맞아봤지만 통증이 1%도 줄어들지 않았습니다.
결국 수술을 결심해 대학병원 한 군데, 정형외과 및 신경외과 아홉 군데에서 진료를 받았지만, 어려운 수술이라고 하면서 척추유합술, 감압술 등 병원마다 제시하는 수술방법이 다 달랐습니다. 저로서는 어느 병원을 신뢰해야 할지 혼란스러운 상황이었습니다. 게다가 수술 후 후유증이나 남는 증상에 대해 물으니 ‘있을 수도 있고 없을 수도 있다’라는 의사의 말에 고민이 되었습니다.
수술 날짜를 정해놓았지만, 그 전에 모커리에 안 갔다 오면 후회가 될 것 같다는 생각이 들었습니다. 모커리는 예전부터 유튜브를 봐서 알고 있었고, 또 모커리라는 이름이 자꾸 귀에 쟁쟁했습니다. 가족들은 저와 같은 심한 협착증을 어떻게 한방으로 치료할 수 있겠느냐며 말렸지만, 저는 모커리에 가면 나을 수 있겠다는 자신이 있었기 때문에 마지막으로 모커리에 오게 됐습니다.
이 환자분의 얘기를 잘 들어보셨나요?
이 환자분처럼 상태가 매우 심각한 중증 협착증, 2단계 이상의 전방전위증도 수술 없이 치료가 될 수 있습니다.
그 이유는 척추관이 심하게 좁아지고, 또 척추 뼈가 밀려나갔어도 허리 주변 근육의 기능이 좋으면 안 아프거나 훨씬 덜 아픕니다. 그래서 근육의 기능을 회복시키는 한방재활치료를 잘 해주면 증상이 많이 좋아질 수 있는 것입니다.
이렇게 마비가 올 정도로 심한 협착증 환자분의 치료 결과가 어떻게 되었을지 궁금하시다면 아래 영상을 꼭 보시길 바랍니다.
모커리 척추관협착증 ABCDE 한·양방 협진 재활치료법은 수술 없이 협착증을 치료하는 모커리 고유의 비수술 치료방법입니다. 한쪽 다리의 통증만 있는 초기 협착증부터 다리에 힘이 빠지고 몇 걸음 걷지 못하는 말기 협착증까지 ABCDE 척추관협착증 비수술 치료법으로 치료하고 있습니다. 모커리는 수준 높은 임상연구를 통하여 말기 협착증 환자가 ABCDE 재활치료로 통증 없이 걷는 거리가 11배 증가했다는 것을 과학적으로 객관적으로 증명하여 국제학술지에 논문을 발표했습니다.

척추관협착증 비수술 재활치료후기, 심한 협착증으로 다리가 가늘어지고 걷지 못하는 환자
척추관협착증 비수술 재활치료후기, 세 마디의 심한 협착, 세 번의 수술을 권유 받은 환자
척추관협착증이 수술 없이도 치료 가능한 5가지 이유
협착증 환자가 반드시 매일 꼭 해야 되는 4가지 운동
척추관협착증 임상시험과 7년의 연구를 통해 밝혀진 재활치료 효과 국제학술지 논문 발표
척추관협착증에 재활치료를 꼭 받아야 하는 이유
척추관협착증 환자가 꼭 알아야 할 12가지
척추협착증 한방치료 효과를 못 믿으신다구요? 이 내용을 보시면 믿게 됩니다.
협착증 한방치료로 신경압박이 풀리는 눈에 보이는 증거가 있습니다.
척추전방전위증을 동반한 척추협착증, 수술 없이 치료하는 방법
척추관협착증의 진행을 막는 8가지 방법
허리디스크, 척추관협착증 MRI만 보고 진단하면 안 되는 이유
허리협착증이 아니라 디스크라구요
척추관협착증 한방치료비용과 실손보험 잘 이용하는 법
척추관협착증 환자가 치료 여부에 상관없이 운동은 무조건 해야하는 이유
더보기 >
보다 많은 환자분들과 건강정보를 공유하고자 개방형 게시판으로 건강상담을 운영하고 있습니다. 목과 허리 통증•디스크•협착증•교통사고•어깨•무릎 등 궁금하신 질문을 남겨주시면 전문의가 최대한 자세하게 답변 드립니다.
| 제목 | |||||||||
|---|---|---|---|---|---|---|---|---|---|
|
|||||||||
|
|||||||||
|
|||||||||
|
|||||||||