“신경주사를 두 번이나 맞았는데도 불구하고 참기 힘든 통증이 몇 배 이상으로 늘어났습니다. 통증이 심하니까 먹는 것도 제대로 먹지 못했고, 너무 아파서 밤에 혼자서 울기도 했습니다”
먼저 이 환자분의 치료 전 상태를 MRI와 함께 설명 드린 후 환자분의 얘기를 직접 들어보겠습니다.

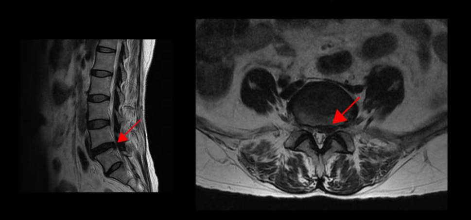
<4-5번 디스크 파열>
이 환자분은 4, 5번 디스크가 파열되어 다리로 가는 신경근을 자극해 왼쪽 엉덩이와 다리에 심한 방사통이 있는 상태였습니다. 디스크 파열이 아주 심한 상태는 아니었지만, 신경주사를 두 번 맞은 후 잠시 좋아졌다가 다시 통증이 몇 배 더 심하게 악화되었는데요. 이렇게 신경주사 치료로 통증이 잡히지 않으면 많은 분들이 시술이나 수술밖에 방법이 없다는 얘기를 듣게 되고, 이 환자분도 그런 얘기를 듣고 한방재활치료를 받기로 결심하셨습니다.
그런데 이런 심한 디스크 파열이 수술밖에 방법이 없다는 얘기는 굉장히 잘못된 얘기입니다. 나이가 들면 디스크의 자연적인 퇴행 및 손상으로 인해 디스크가 밀려나와 있는 분들이 매우 많습니다. 50대가 넘으면 디스크에 이상이 없는 사람을 찾기가 더 힘들 정도입니다. 그런데 이렇게 디스크가 밀려나와 있는 사람들이 많아도 증상이 있는 분들보다 증상이 없는 분들이 훨씬 더 많습니다.
왜 그럴까요? 디스크가 밀려나와 있어도 허리 주변 근육의 기능이 정상적이면 아프지 않기 때문입니다. 그래서 저희가 허리디스크, 특히 오랫동안 낫지 않아 수술밖에 방법이 없다고 하는 디스크가 허리 주변 근육의 기능을 회복하는 재활치료를 통해 수술 없이 치료가 가능하다고 주장하는 것입니다.
환자분의 얘기를 직접 들어보겠습니다.
한 달 안에 신경주사를 두 번이나 맞았는데, 주사치료 후에 참기 힘든 통증이 몇 배 이상 늘어났습니다. 그래서 주사만 계속 맞아서는 안 되겠구라는 생각이 들었습니다. 인터넷으로 찾아보니까 사람마다 신경주사의 효과가 1년이 갈 수도 있고, 1달이 갈 수도 있다는데, 그러면 1달 있다가 신경주사를 또 맞으면 그 효과가 얼마나 갈 수 있을지 걱정이 됐습니다. 또 원래 뼈가 약한 편이라 신경주사가 뼈나 근육 건강에 좋지 않을 거라는 얘기를 많이 들어서 앞으로 신경주사는 맞지 말아야겠다고 생각했습니다.”
통증이 많이 심할 때는 어떻게 해도 안 아픈 자세가 나오지 않을 정도였습니다. 통증이 심하니까 먹는 것도 제대로 먹지 못했고, 너무 아프니까 밤에 혼자서 울기도 했습니다.
신경주사를 맞아도 통증이 계속되니까 결국 병원에서 “신경주사를 맞고 어느 정도 효과가 있다가 통증이 다시 나타나면 결국은 시술이나 수술밖에는 방법이 없다”라는 말을 듣게 되었습니다.
같이 일하는 직원이 모커리에서 치료를 받고 효과를 봤다고 해서 망설임 없이 내원하게 됐습니다. 제 생각에는 강남에 있는 병원이니까 병원 시스템이 체계적으로 이루어지지 않을까 하는 생각에 치료를 마음먹게 되었습니다.
이 환자분의 치료 전 얘기를 잘 들으셨나요?
이 환자분처럼 신경주사나 시술 후에도 통증이 가라앉지 않고 계속되는 분들이 매우 많은데요. 일반적으로 디스크는 시간이 지나면 치료를 받건 안 받건 자연적으로 좋아지는 경향이 매우 강한 질환입니다. 그런데 이 환자분처럼 스테로이드 주사를 맞았는데도 잘 낫지 않는 사람들은 왜 그런 걸까요?
허리디스크는 디스크 내부의 수핵이 밀려나오며 신경에 염증을 일으켜 허리, 엉덩이, 다리에 극심한 통증을 일으키면서 몸을 뒤틀리게 만들고 근육을 긴장시키며 균형을 깨뜨립니다. 평소 근육의 기능과 상태가 좋았던 사람들은 한두 달 내로 극심한 염증이 가라앉으면서 근육의 기능과 상태도 원래대로 회복될 가능성이 높지만, 평소 근육의 기능 및 상태가 좋지 않고 근육량이 많지 않았던 사람들은 염증이 가라앉은 이후에도 허리의 뒤틀림, 특히 손상된 디스크 주변 근육의 과도한 긴장과 불균형을 만들어 밀려나온 채 흡수가 되지 않고 남아 있는 수핵과 신경에 불필요한 압력과 자극을 주게 됩니다. 이런 상태가 지속되는 것이 디스크 탈출 후 수 개월 혹은 1년 이상이 경과해도 낫지 않는 디스크의 원인인 것입니다.
이미 디스크 급성기의 극심한 염증은 가라앉았기 때문에 이런 상태에서는 신경주사를 맞아도 효과가 디스크 급성기 때처럼 드라마틱하지 않습니다. 그래서 이런 상태를 수술 없이 치료하기 위해서는 허리 주변 근육의 떨어진 기능을 회복시켜주고, 아파서 긴장되고 균형이 깨져 뒤틀린 허리 근육을 치료해서 회복시켜주는 것이 중요합니다. 이런 근육재활치료를 통해 허리 주변 근육의 기능이 회복되고 긴장이 해소되면, 흡수되지 않고 남아 있는 수핵이 신경에 주고 있는 과도한 자극이 줄어듦으로써 치료가 되는 것입니다.
이미 디스크 급성기의 극심한 염증은 가라앉았기 때문에 이런 상태에서는 신경주사를 맞아도 효과가 디스크 급성기 때처럼 드라마틱하지 않습니다. 그래서 이런 상태를 수술 없이 치료하기 위해서는 허리 주변 근육의 떨어진 기능을 회복시켜주고, 아파서 긴장되고 균형이 깨져 뒤틀린 허리 근육을 치료해서 회복시켜주는 것이 중요합니다. 이런 근육재활치료를 통해 허리 주변 근육의 기능이 회복되고 긴장이 해소되면, 흡수되지 않고 남아 있는 수핵이 신경에 주고 있는 과도한 자극이 줄어듦으로써 치료가 되는 것입니다.
모커리 허리디스크 ABCDE 한·양방 협진 재활치료법은 수술 없이 허리디스크를 치료하는 모커리 고유의 비수술 치료방법입니다. 디스크 통증은 물론 수술을 권유 받을 정도의 마비와 힘 빠짐을 동반한 디스크 파열 등의 중증 허리디스크를 수술 없이 ABCDE 허리디스크 비수술 치료법으로 치료하고 있습니다. 모커리는 심하게 파열된 허리디스크 뿐 아니라 수술 후 재발한 허리디스크, 척추유합술 후 재발한 허리디스크 등의 어려운 척추 질환을 비수술로 치료하고 있으며, 이러한 ABCDE 치료법의 효과를 과학적, 객관적으로 검증하여 해외 유명학회 및 학술지 등에 지속적으로 발표하고 있습니다.

허리디스크 파열 비수술 재활치료후기, 극심한 파열로 발 마비증상, 심한 절뚝거림, 신경주사 효과가 없는 환자
허리디스크 파열 비수술 재활치료후기, 다리 마비(힘 빠짐)와 대소변 장애, 극심한 통증이 있는 환자
허리디스크 파열 비수술 재활치료후기, 극심한 통증으로 걸을 수도 없었던 환자
허리디스크 파열 비수술 재활치료후기, 극심한 통증으로 일어서기도 어려운 환자
허리디스크, 근육을 꼭 치료해야 하는 이유
허리 주변의 뭉친 근육만 풀어줘도 허리디스크 증상이 좋아지는 이유와 근육 풀기 운동
허리디스크파열 자연치유 실전편 2탄 - 회복기간 및 회복패턴 잘 알기
허리디스크에 좋은 운동
허리디스크 환자가 하지 말아야 할 앉는 자세 6가지
허리디스크 터지면 흡수되는 이유
허리디스크치료 - 허리디스크에 신경주사만 계속 맞으신다고요?
허리디스크 파열 한방치료로 어떻게 좋아질까요?
퇴행성허리디스크와 허리디스크탈출의 차이점
허리디스크, 척추관협착증 MRI만 보고 진단하면 안 되는 이유
허리디스크 수술 신중히 결정해야 하는 이유
더보기 >
보다 많은 환자분들과 건강정보를 공유하고자 개방형 게시판으로 건강상담을 운영하고 있습니다. 목과 허리 통증•디스크•협착증•교통사고•어깨•무릎 등 궁금하신 질문을 남겨주시면 전문의가 최대한 자세하게 답변 드립니다.
| 제목 | |||||||||
|---|---|---|---|---|---|---|---|---|---|
|
|||||||||
|
|||||||||
|
|||||||||
|
|||||||||