허리 굽은 게 제일 불편했죠. 허리가 굽으니까 자연스럽게 걷기도 싫어지고 또 걷는 거리도 점점 짧아져요. 한 200m 걷다가 나중에는 100m 걸으면 힘들어지고 점점 걷는 거리가 짧아져서 조금만 걸어도 힘들어지더라고요. 저희 아파트랑 애들 아파트가 같은 단지 안에 있는데 울타리 하나만 지나가면 되는데 거기까지 걷는 것도 너무 힘들어요. 너무 힘들고 가다가 한 번씩 쉬어야 되고 잠깐 앉았다 가고 그런 현상이 자꾸 반복되더라고요.
재작년부터 갑자기 걸음이 잘 안 떼지고 그리고 모임에 가면 친구들이 왜 서 있는 모습이 이상하냐고 모습이 왜 그러냐고 허리 똑바로 펴라고 자꾸 그러더라고요. 친구들이 사진을 찍어 주잖아요. 사진을 보니까 허리가 굽어 있더라고요. 그래서 ‘이거 분명히 뭔가 문제가 있구나’ 그런걸 느꼈어요. 애들도 맨날 제가 싱크대에서 주방일 한다고 서 있으면 엄마 허리 펴라고 맨날 그러고 집에서도 남편도 제 허리를 뒤로 제껴서 똑바로 한번 서 보라고 그렇게 하고 그랬거든요. 너무 너무 속상했어요. 나이가 이제 70세 밖에 안 됐는데 벌써 이렇게 허리가 굽어지고 제가 생각해도 제가 너무 비참한 거예요.
그렇죠. 다리에 힘이 빠지더라고요. 허벅지는 여기서부터 다리에 힘이 빠지고 그리고 발이 저려요. 다리도 무거웠어요. 그러니까 한 발 한 발 떼기가 힘들었어요. 그래서 저희 집에서 헬스장 가는 것도 거리가 그렇게 멀지 않거든요. 아파트 하나 지나서 길 건너에 있었는데 거기까지 가는 것도 힘들어서 그냥 차를 가지고 다녔어요.
한 4~5년 전에 약간 허리가 아프고 다리 증상이 와서 정형외과에 갔어요. 정형외과 가도 디스크 디스크 초기라고만 얘기를 하시고 구체적인 치료라든지 이런 걸 안 해 주시더라고요. 일단 물리치료 받고 약 먹고 그 정도만 하고 견뎠어요. 그랬는데 그게 치료가 되는 게 아니고 진통제더라고요. 이게 한 4~5년 전이었고 그렇게 해서 쭉 세월이 가다 보니까 허리가 꼬부라지는 현상이 나타난 거예요.
너무 힘들어서 안 되겠다고 하니까 애들도 실감을 하고 여기저기 병원을 알아보고 그랬거든요. 병명을 제대로 알고 치료를 하는 게 효과적일 것 같다. 딸도 그러면서 여기저기 알아보는 도중에 모커리한방병원이 있는데 여기 병원에다가 전화를 했나 봐요. 제 증상을 비수술로 낫게 해줄 수 있는 병원이 집 근처 가까이 있다고 엄마 집안일 다 제껴놓고 모커리 가서 입원 집중치료를 받는 게 맞는 것 같다 그래서 애하고 같이 왔어요.
입원 집중치료를 해야 된다고 해서 하루 이틀이 아니라 3주씩이나 집을 비운다고 하니까 남편이 왜 그렇게 해야 되냐고 말렸어요. 집에서 왔다 갔다 하면서 통원 치료를 해도 되는데 입원치료를 할 필요가 있겠냐고 그렇게 말렸는데 내가 일단 살고 봐야겠다 그래서 그냥 큰 마음 먹고 왔어요.
잠시 후에 MRI를 보면서 설명을 해드릴 텐데요. 이분은 서서 조금만 걸으려고 하면 허리가 앞으로 구부러지는 환자분입니다. 한 번에 쉬지 않고 걸을 수 있는 거리도 점점 짧아져서 100m만 걸으면 힘들어서 쉬어가야 합니다. 누가 봐도 협착증 환자로 보일 텐데요. 이분의 가장 큰 문제점은 협착이 아니고 허리를 펴는 근육들에 심각한 문제가 생긴 것입니다.
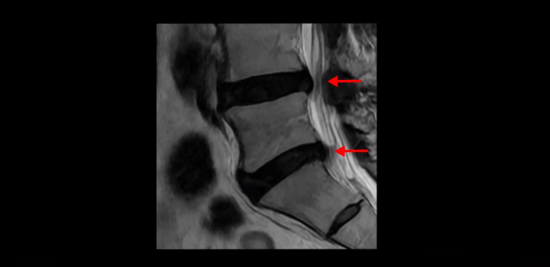
MRI를 보면서 설명해 드리겠습니다. 2마디에 퇴행성디스크가 있는데 심하지는 않습니다.

4번 5번에 척추관 협착이 있는데 신경을 심하게 누를 정도로 심하지는 않습니다.

오른쪽 왼쪽 신경 가지가 나가는 추간공도 좁아져는 있지만 아주 심하지는 않습니다.

이 환자분의 가장 큰 문제는 허리를 펴는 근육인 척추기립근이 상당 부분 지방으로 변해서 하얗게 보이고 기립근의 크기도 많이 작아져 있습니다.

이 기립근은 허리를 펴주는 근육인데 이렇게 문제가 생기면 허리가 구부러집니다. 또한 이분의 근육 상태를 알 수 있는 근감소증 검사에서 중증 근감소증 진단이 나왔습니다.

평균적인 동년배들에 비해 근육량이 많이 줄어든 겁니다. 이렇게 근육량도 많이 줄어들고 또 남아있는 근육이 지방으로 변한 상태에서 그나마 남아있는 근육들마저도 뭉치고 굳어서 제 기능을 못 하면 허리가 구부러지고 걸을 때 다리가 힘들고 아플 수밖에 없습니다. 그런데 근육 치료와 이런 근육의 문제를 MRI를 찍어보고 협착이 조금이라도 보이면 협착증으로 진단하고 주사 놓고 안 되면 수술까지 하는 경우들이 있습니다.
이런 구부러진 허리 문제의 원인을 협착증 때문이라고 잘못 진단하면 수술로 나사를 박아서 펴려고 할 수 있는데, 이런 근감소증과 기립근 지방화 및 근육 뭉침, 근육 경직으로 인해 허리가 구부러진 걸 강제로 허리에 나사를 박아 펴려고 하면 결과가 매우 안 좋을 수 있습니다. 근육 문제를 근육 재활치료로 치료해야지, 허리 뼈에 나사를 박아서 허리를 강제로 펴면 결과가 매우 안 좋을 수 있는 겁니다. 비슷한 증상의 근육 문제로 허리가 구부러지는 환자분께서 대학병원에서 들은 얘기를 한번 보시죠.

이분도 중증 근감소증 진단과 함께 척추기립근이 하얗게 지방으로 변한 것이 확인되었습니다. 당연히 허리, 엉덩이, 골반, 다리 근육들은 심하게 뭉치고 굳어있었습니다. 비슷한 증상의 환자분 이야기를 더 들어보겠습니다.

이 환자분 역시 근감소증 진단을 받으셨고, 척추기립근이 심하게 지방으로 변한 게 확인됩니다. 역시 허리, 골반, 다리 근육들은 다 뭉치고 굳어있었습니다.
그럼 이런 분들을 어떻게 치료할까요? 일단 이런 환자들은 근육이 뭉치고 많이 아픕니다. 많지 않은 근육으로 몸을 지탱하면서 일상생활을 하려다 보니까 근육들이 힘들어서 뭉치고 아픈 겁니다. 이런 뭉치고 굳어있고 아픈 근육들은 직접 만져봐야 압니다. 달리 진단할 방법이 없습니다. 많이 뭉치고 아픈 허리, 엉덩이, 다리 근육들을 하루에도 4번 이상 풀어주는 치료, 좀 더 구체적으로 침, 약침, 봉침, 이완추나, 도수치료 등으로 반복해서 하루 4번 이상 풀어주고 또 매번 풀어주는 즉시 누워서 휴식을 취합니다. 이렇게 뭉치고 아픈 근육을 반복해서 풀어주고 쉬고 풀어주고 쉬고를 하루에도 4번 이상 2주에서 4주 정도 반복하면 이 뭉친 근육들이 풀리면서 통증이 좋아집니다. 그런데 누워만 있으면 근육 기능이 약해지기 때문에 가벼운 근육 기능을 회복하는 가벼운 재활운동을 중간중간 계속 해야 합니다.
근육 재활 운동을 통하여 근육의 기능이 회복되고 좋아지면 구부러진 허리가 펴지고 통증 없이 훨씬 더 잘 걸을 수 있게 되는 겁니다. 또 한약의 역할도 중요합니다. 특히 근감소증 환자에게 한약이 골격근량을 증가시킨다는 논문들이 일본에서 많이 나오고 있습니다. 일본에는 우리보다 훨씬 더 빠른 고령화 때문에 엄청나게 많은 근감소증 환자들이 있습니다. 그런데 일본에서는 한의사 제도가 없고 근감소증에 쓸 양약이 전혀 없으니까 일본 의사들이 한약을 많이 쓰고 있는 것입니다.
저희 모커리한방병원은 이런 근감소가 심하고 협착이 심한 환자들을 대상으로 무작위 대조군이라는 수준 높은 연구 방법으로 미국 최고의 대학병원과 2개의 임상연구 논문을 발표하였고, 이런 연구 결과와 관련된 내용은 아래 영상을 통해 확인하실 수 있습니다.
그럼 이런 환자분은 3주 간의 입원 치료로 얼마나, 어느 정도까지 좋아지실 수 있을까요? 구부러진 허리가 반듯이 펴질 수 있을까요? 걸음은 편하게 잘 걸으실 수 있을까요? 이분의 치료 후 결과가 궁금하시다면 아래 영상을 꼭 보시길 바랍니다.
모커리 척추관협착증 ABCDE 한·양방 협진 재활치료법은 수술 없이 협착증을 치료하는 모커리 고유의 비수술 치료방법입니다. 한쪽 다리의 통증만 있는 초기 협착증부터 다리에 힘이 빠지고 몇 걸음 걷지 못하는 말기 협착증까지 ABCDE 척추관협착증 비수술 치료법으로 치료하고 있습니다. 모커리는 수준 높은 임상연구를 통하여 말기 협착증 환자가 ABCDE 재활치료로 통증 없이 걷는 거리가 11배 증가했다는 것을 과학적으로 객관적으로 증명하여 국제학술지에 논문을 발표했습니다.

보다 많은 환자분들과 건강정보를 공유하고자 개방형 게시판으로 건강상담을 운영하고 있습니다. 목과 허리 통증•디스크•협착증•교통사고•어깨•무릎 등 궁금하신 질문을 남겨주시면 전문의가 최대한 자세하게 답변 드립니다.
| 제목 | |||||||||
|---|---|---|---|---|---|---|---|---|---|
|
|||||||||
|
|||||||||
|
|||||||||
|
|||||||||