“목디스크가 되게 오래됐어요. 거의 30년은 된 거 같은데. 사람들이 항상 하는 얘기가 구부정하게 다닌다고. 조금만 피곤하면 목이 확 뭉쳐서 어떻게 할 수 없이 아파요. 젓가락질 하기도 힘들고 물건을 들면 자꾸 떨어뜨려요. 사람들이 저랑 같이 걷다 보면 제가 조금만 걸어도 휘청휘청 한대요. 똑바로 못 걷고 비틀비틀 거리고 또 식은땀이 나요. 자꾸 넘어져요. 시술을 하면 할수록 갈수록 그때뿐이에요.”
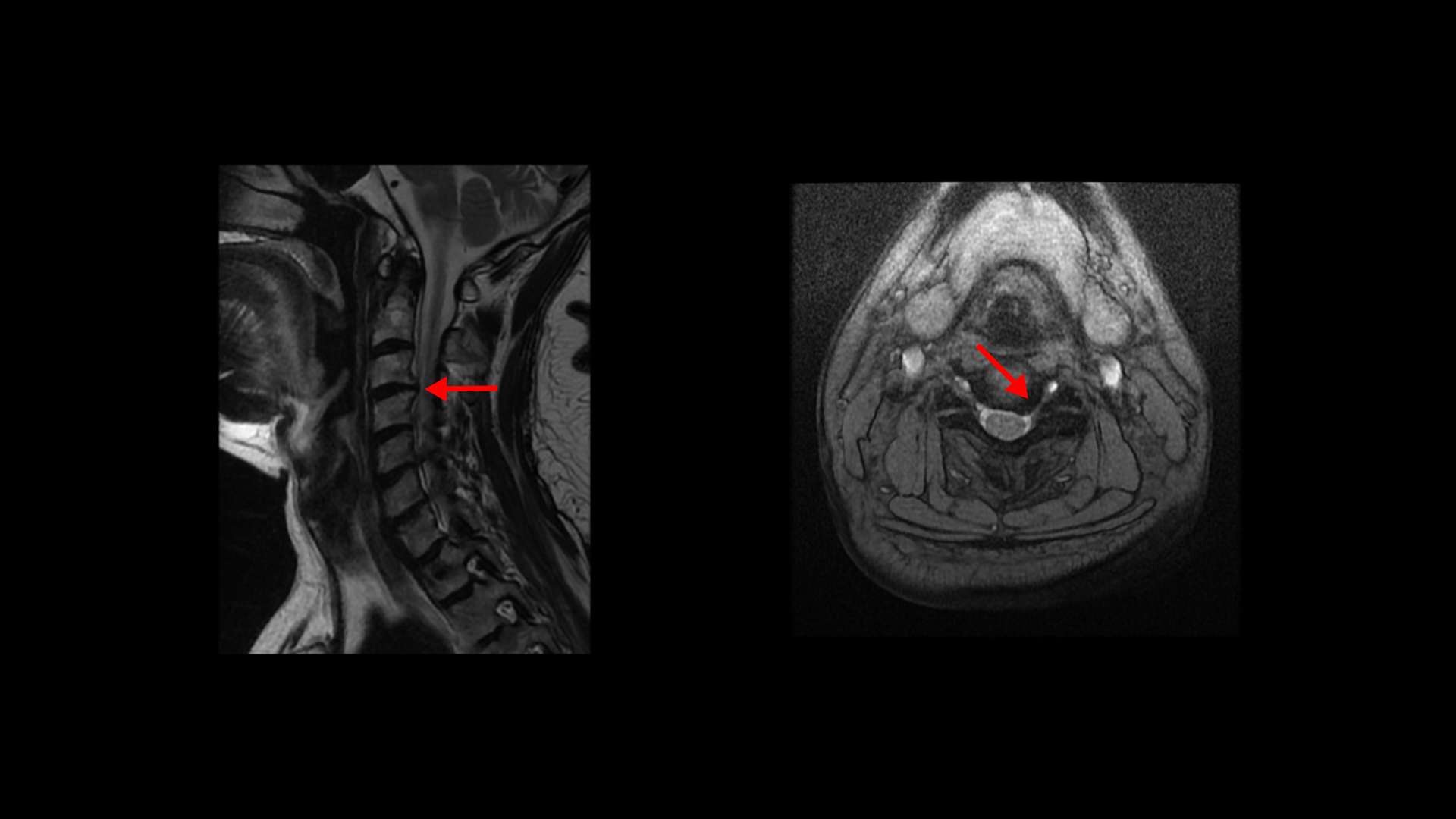
제가 먼저 이 환자분의 상태에 대해 설명드린 후 이분 말씀 더 들어보겠습니다. 이 환자분은 정말 오래된, 본인 표현으로는 30년된 심한 여러 마디의 목디스크와 또 허리에는 2마디의 퇴행성 디스크 및 추간공협착이 있습니다. 목디스크는 MRI로 보면 3번 4번 목디스크가 뼈가 심하게 자라면서 밀려나와있고 왼쪽으로 나가는 신경길을 막고 있습니다.
5번 6번 디스크도 왼쪽으로 심하게 밀려나와 있습니다. 이분 왼쪽 팔의 힘 빠짐 증상은 이것 때문인 것으로 보입니다.
허리MRI를 보면 두 마디의 퇴행성디스크와 추간공협착이 있습니다.
3번 4번은 왼쪽 중앙으로 밀려나와있고
4번 5번은 왼쪽 신경이 빠져나가는 추간공이 뼈가 자라면서 좁아져 추간공협착이 있습니다.
또 왼쪽 후궁에는 과거에 받은 수술의 흔적도 보입니다.
이렇게 오랫동안 신경이 눌려있다보니까 이미 근육이 다 망가지고 팔과 다리의 근력이 떨어지고 힘이 빠지는 상태가 되었습니다. 손은 젓가락질을 하기도 힘들고 물건을 자주 떨어뜨리고, 다리는 왼쪽 다리의 힘이 빠지니까 걸을 때 비틀거리고 자주 넘어지는 증상까지 발생하게 됩니다.
저희가 항상 말씀드리는 대로 신경학적 방사통이 오래 지속되면 근육을 망가뜨리고 근육을 위축시키며, 근육에 심각한 문제를 남긴다는 걸 보여주는 겁니다. 이런 약해지고 문제가 있는 근육들 때문에 손과 다리의 힘 빠지는 증상도 나타나지만 목과 허리 주변의 뭉치고 굳어있는 근육들은 목과 허리에서 척추 뼈를 잡아당겨 신경이 훨씬 더 많이 눌리게 만들어 신경학적 증상이 더 심해지도록 만듭니다.
그래서 이런 목 주변과 허리 주변의 뭉치고 굳은 근육들을 풀어주고, 팔과 다리의 망가지고 위축되고 굳어버린 팔과 다리, 엉덩이 근육을 직접적으로 치료해서 기능을 살려주면 신경학적 방사통도 좋아지고 팔과 다리의 근육 기능이 살아남으로써 통증은 물론 힘 빠짐이나 마비 증상도 좋아지는 겁니다.
이것이 목디스크와 허리디스크가 수술 없이도 치료가 가능한 이유입니다. 심지어는 이 환자분처럼 마비 증상과 힘 빠짐 증상을 동반한 디스크까지도 수술 없이 치료가 되는 것입니다. 그럼 근육 치료, 근육 재활치료는 어떻게 하는지 이런 근육 재활치료 후 목디스크와 허리디스크가 얼마나 빨리 좋아질 수 있는지 먼저 환자분 얘기 듣고 말씀 드리겠습니다.
목디스크가 되게 오래됐어요. 거의 30년은 된 것 같은데. 사람들이 항상 하는 얘기가 이렇게 구부정하게 다닌다고 들었어요. 그게 스트레스 엄청 받거든요. 가장 불편한 거는 이렇게 구부정하게 다니고 또 손이 자꾸 저려요. 제가 식당일을 하는데 일 조금만 하면 손이 확 꼬여서 안 풀어지는 거예요. 조금만 피곤하면 목이 확 뭉쳐서 어떻게 할 수 없이 너무 아파요.
마비가 심해지면서 한쪽 팔에 힘이 빠지니까 저는 중풍 오는 줄 알고. 저희 어머니 아버지가 다 풍으로 쓰러지셨거든요. 젓가락질도 힘들고 물건을 들면 자꾸 떨어뜨려요. 목 때문에 자꾸 마비 증세가 오니까 몸에 힘이 없어요. 디스크가 짓누르니까 몸 전체적으로 힘이 없고 일 조금만 하면 피로하고 자꾸 몸이 마비가 되니까 무슨 일을 할 수가 없어요. 힘이 빠져서
걷는 건 힘이 없어요. 사람들이 저랑 같이 걷다 보면 제가 조금만 걸어도 막 휘청휘청 한대요. 똑바로 못 걷고 금방 쓰러질 것 같대요. 그리고 왜 이렇게 다리에 힘이 없냐고 해요. 걸어 다니면 휘청휘청하면서 비틀비틀 거리고 또 식은땀이 나요. 디스크가 있으면 자꾸 넘어져요. 앉아 있을 때도 시간이 좀 지나면 몸이 되게 힘들어요 몸에 힘이 없고 어깨도 힘들고 허리도 힘들고.
시술을 자주 했어요. 주사로 하는 거요. 신경주사를 거의 10번은 맞은 것 같은데요. 시술을 하면 그때 뿐이고 갈수록 그때뿐이에요.
지인이 모커리한방병원 소개해서 오게 됐어요. 그전부터 모커리는 들어봤어요. 그래서 강남 모커리한방병원에 전화해서 상담해보고 오라고 해서 온 거예요. 침치료는 그동안 꾸준히 많이 받아봤는데 침치료가 잘 맞는 것 같고 더 잘해보려고 해서 모커리에 온 거예요.
이 환자분 얘기 잘 들으셨나요? 이 환자분 처음 진찰 시 목과 허리, 엉덩이, 다리 근육들은 전부 극심하게 뭉쳐있고, 이런 뭉친 근육들이 디스크 압력을 증가시켜 신경학적 증상을 악화시키고 있는 겁니다. 또한 방사통이 10년 이상 너무나도 오래 지속 되다보니 엉덩이와 다리 근육에 심한 근위축과 근육 문제들이 생겨 있었습니다. 여러분께서 꼭 아셔야 될 게 오래된 방사통은 근육에 심각한 문제들을 남깁니다. 이런 근육 문제는 눌린 신경을 수술로 풀어준다 해도 저절로 잘 회복되지 않는 경우가 많아 수술 후 수술은 잘 되었다는데도 원인을 알 수 없는 방사통이 지속되는 이유가 됩니다.
아무튼 이런 뭉친 목 근육과 허리 근육, 엉덩이, 다리 근육은 우선 침과 약침(봉침), 추나요법, 도수치료 등으로 풀어주고 치료해주면서 통증이 조금씩 줄어들면 근육 기능 강화를 위한 재활운동을 실시합니다.
이런 근육 치료들로 근육 문제가 해결되고 근기능이 강화되면 놀랍게도 신경학적 증상들, 즉 방사통과 마비, 힘 빠짐 증상까지도 좋아집니다. 이해를 돕기 위해 우선 목 근육 치료를 잠깐 보여드리곘습니다. 목디스크, 목 협착증, 만성 목통증 치료의 제일 중요한 근육은 목 앞쪽 근육입니다. 보시다시피 디스크, 협착증, 척수증 및 목통증 환자는 목 앞쪽 근육이 뭉치고 짧아지면 예외없이 이 근육들이 뭉치고 짧아져있는데, 이 근육들이 이렇게 목 뼈를 잡아당기면 신경이 더 눌리고 방사통이 심해집니다. 이 근육들을 침, 약침, 봉침 등으로 풀어주는건데, 이 목 앞쪽으로 신경과 혈관이 매우 많이 지나가기 때문에 상당히 고난도의 치료입니다. 허리 근육의 치료는 목보다 더 큰 근육들이고 무게를 더 많이 지탱해야 하기 때문에 목 근육보다 조금 더 많은 치료를 조금 더 길게 해야 합니다. 이 환자분은 4주 입원 기간 동안 하루에도 4~6차례의 여러 번의 근육치료를 통해 뭉치고 아픈 근육을 반복적으로 풀어주고 또 치료 직후 바로 쉬고 풀어주고 쉬고를 약 2주 정도 반복하여 뭉친 근육을 완전히 풀어준 후 근육 기능 강화를 위한 재활운동 치료를 시행하였습니다.
이렇게 뭉친 근육을 풀어주고 근육 기능을 강화시켜주면 과연 수십년 오래된 목디스크, 허리디스크의 방사통과 힘 빠짐, 마비 증상이 과연 좋아질 수 있을까요? 이런 치료를 들은 적도, 본 적도 없는 환자분들이 대부분이기 때문에 치료 결과를 보고도 못 믿는 분들이 많습니다. 이 환자분 외에도 수없이 많은 디스크, 협착증, 전방전위증의 방사통 및 마비와 힘 빠짐 증상을 가진 환자분들에 대한 생생한 치료후기 영상이 있으니 치료 결과를 꼭 보시기 바랍니다. 이분의 치료 후 결과가 궁금하시다면 아래 영상을 꼭 보시길 바랍니다.
모커리 목디스크 ABCDE 복합치료법은 수술 없이 목디스크를 치료하는 모커리 고유의 비수술 치료방법입니다. 초기 목디스크는 물론 수술을 권유 받을 정도의 힘 빠짐이나 마비를 동반한 중증 목디스크까지 ABCDE 목디스크 비수술 치료법으로 치료하고 있습니다. 모커리는 일반적으로 목디스크가 허리디스크보다 비수술치료로 더 쉽고 빠르게 치료된다는 것을 연구하여 학술대회 등에 지속적으로 발표하고 있습니다.

보다 많은 환자분들과 건강정보를 공유하고자 개방형 게시판으로 건강상담을 운영하고 있습니다. 목과 허리 통증•디스크•협착증•교통사고•어깨•무릎 등 궁금하신 질문을 남겨주시면 전문의가 최대한 자세하게 답변 드립니다.
| 제목 | |||||||||
|---|---|---|---|---|---|---|---|---|---|
|
|||||||||
|
|||||||||
|
|||||||||
|
|||||||||