“허리 좀 펴보겠다고 거꾸리를 집에서 했다가 뚜둑하면서 종아리가 갑자기 타오르는 느낌이 들더라고요. 발목을 들으려고 해도 안 들어지고 발가락도 안 들렸고 전혀 감각이 없더라고요. 그래서 쩔뚝거렸고 또 창으로 골반 엉덩이랑 발목을 누가 쑤시는 기분이고 워커를 잡고도 한 네다섯 발자국 걸으면 바로 쥐가 올라오고 하니까 총체적 난국이었어요. 정형외과 갔다가 주사를 척추에도 놔보고 꼬리뼈도 놔보고 총 합해서 한 12번 맞은 것 같은데 효과가 하나도 없더라고요. MRI 들고 대학병원으로 가시라고 소견서 써줄 테니까 바로 가라더라고요. 수술해야 할까요? 그랬더니 이 정도면 수술할 가능성이 높다고 했어요.”
이 환자분에 대해 먼저 설명해 드린 후 환자분 이야기 더 들어보겠습니다. 이분은 가벼운 디스크 증상을 고쳐보려고 거꾸리를 집에서 하다가 허리디스크 파열이 심하게 된 환자분입니다. 디스크 파열 후 오른쪽 다리에 극심한 방사통과 함께 발목 마비로 풋드랍이 오고 발가락의 감각도 없어집니다.
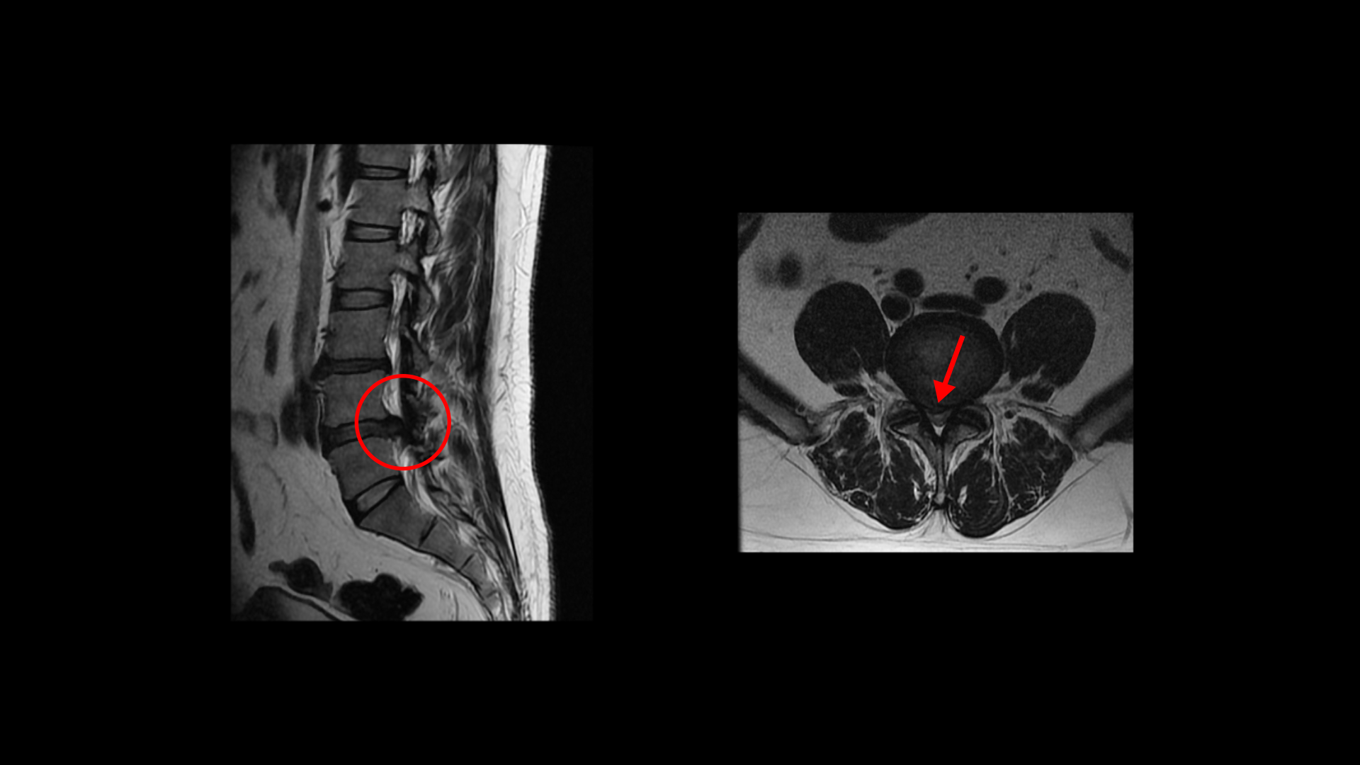
이분 MRI를 보면 4번 5번 마디가 아주 심하게 터져서 우측 중앙으로 밀려 나와 있습니다.
이렇게 심하게 디스크가 밀려 나오면 다리의 통증과 마비는 물론 대소변 장애까지 생길 수 있지만, 다행히 이분은 대소변 장애는 없으셨습니다. 디스크 파열로 인한 다리의 마비 증상, 즉 발목 힘 빠짐, 풋드랍, 까치발이 안 되는 것, 발 뒤꿈치로 못 서는 것 등 이런 심한 증상들도 저희 치료로 수술 없이 가능합니다. 꼭 기억하시고요. 아무튼 이 환자분은 다리의 통증과 마비 증상으로 걷는 것도 절뚝거리면서 5분 이상 걷기도 어렵고, 앉는 것은 거의 불가능하고 잠도 중간에 계속 깨기 때문에 거의 못 자는 상태였습니다. 신경 주사도 전혀 효과가 없는 상태에서 수술은 정말 하기 싫지만, 기댈 곳이 없으니까 절박한 마음으로 저희 모커리에 내원하셨습니다.
정형외과 병원에서 수술 받으러 대학병원으로 가라는 권유를 들으셨는데, 도대체 이렇게 심한 디스크 파열을 어떻게 수술 없이 치료할 수 있는 걸까요? 저희 모커리는 수많은 영상을 통해 디스크 파열이 심하면 심할수록 흡수가 더 잘 될 가능성이 훨씬 높다고 계속 말씀 드리고 있습니다. 역설적이게도 디스크 파열이 심할수록 깨끗하게 자연치유 될 가능성이 훨씬 더 높은 겁니다. 그래서 이런 극심하게 디스크 파열이 된 환자분들이 내원하시면 저희는 오히려 더 확신을 가지고 자신 있게 말씀 드립니다. 비수술 치료가 잘 될 가능성이 매우 높으니까 한 달 정도만 치료에 전념하시라고요.
이런 디스크 파열이 심한 환자분들, 특히 마비가 동반된 환자분들의 치료는 그럼 어떻게 하는 걸까요? 얼마나 빨리, 어디까지 회복될 수 있을까요? 마비 증상도 회복 가능할까요? 이 환자분 말씀 더 들어보고 이런 내용에 대해 설명해드리겠습니다.
원래 허리가 아팠는데 결정적인 계기는 허리 좀 펴보겠다고 거꾸리 운동을 집에서 했다가 뚜둑하면서 종아리가 갑자기 타오르는 느낌이 들더라고요. ‘어, 이게 뭐야?’ 그러면서 바로 내려왔는데 그때 움직이려고 하니까 오른발이 먼저 나갔는데 앞으로 넘어지려고 하더라고요. ‘이거 이상하다 왜 그러지?’ 다리는 가벼운데 아무 느낌이 없는 거예요. 그래서 봤는데 발가락이 이렇게 죽어 있고 발목을 들으려고 해도 안 들어지고 각목 끌듯이 다리를 끌고 왔어요.
이전에도 다리 증상이 있었습니다. 그런데 그전에는 타는 느낌도 없었고 마비 느낌도 없었는데 거꾸리를 하다가 악화된 계기가 된 것 같습니다. 4월 말쯤에 조금 불편하다가 골반으로 증상이 와서 정형외과 갔다가 한의원도 갔다가 재활의원까지 가서 병원을 한 세 군데 바꿔 다녔었습니다. 그때 주사를 맞았고 원래 왼쪽 다리 통증이 더 심했는데 주사를 맞으니까 왼쪽이 괜찮아지면서 오른쪽에서 방사통 비슷한 게 세게 오더라고요. 주사도 1차는 6번 맞고 2차는 3번 맞았습니다.
풋드랍 때문에 발가락도 안 들렸고 전혀 감각이 없더라고요. 종아리, 허벅지, 엉덩이 밑에서부터 그래서 쩔뚝거렸고 그전에도 방사통이 있을 때는 칼로 근육 결대로 쓸려나가는 느낌도 있었고 며칠 있다가는 골반, 엉덩이, 발목을 창으로 누가 쑤시는 기분이고 통증이 왔다 갔다 했습니다.
디스크가 터지고 나서는 5분 서 있기만 해도 종아리가 이렇게 팍 타오르는 느낌이 나더라고요. 풋드랍 있는 그 상태에서는 쩔뚝거리면서 절었어요. 각목 끌듯이. 걷는 게 걷는 게 아니고 워커를 잡고도 한 네다섯 발자국 걸으면 바로 쥐가 올라오고 하니까 총체적 난국이었어요.
밥 두 스푼 뜨면 바로 일어났거든요. 그러니까 1분이 아니고 십몇 초 정도라고 보시면 돼요. 모커리한방병원에 올 때도 일반 택시 안 타고 카니발 앞좌석에 타서 의자 뒤로 확 젖힌 다음에 누워서 왔거든요. 그리고 잠도 거의 못 잤어요. 2시간 자면 오래 잔 거고 30분, 1시간에 한 번씩 깼었어요. 너무 아파서
골반 꼬리뼈에다가 넣는 주사 맞았는데 하나도 도움이 안 되더라고요. 주사를 척추에도 놔보고 꼬리뼈도 놔보고 총 합해서 한 12번 맞은 것 같은데 효과가 하나도 없더라고요. 풋드랍이 왔을 때 수술 얘기를 하셨어요. MRI들고 대학병원 가시라고. 소견서 써줄테니까 바로 대학병원으로 가라. ‘수술을 해야 할까요?’ 그랬더니 이 정도면 수술할 가능성이 높다고 했어요.
느낌이 팍 오더라고요. ‘이거 수술해야 하는구나’ 근데 저희 할머니도 그러고 아버지도 그러고 절대 허리는 손대지 말라고 딴 건 몰라도 뼈 부러지거나 암이 아닌 이상 칼 대지 말라고 하셔서 고민이 많이 되더라고요. 그래서 유튜브를 많이 찾아봤습니다. 유튜브 찾고 블로그 찾고 하니까 아무래도 모커리가 가장 탄탄하고 잘해준다고 해서 선택하게 됐습니다. 제일 믿음이 갔던 게 환자분들 해서 비포/애프터 하는 거가 제일 좋았더라고요. 사실 그분들 보고 모커리에 왔거든요. 사실 처음에는 반신반의했어요. 왜냐하면 수술에 대한 회피성도 있고 그리고 모커리 아니면 기댈 곳이 없더라고요. 그래서 한 일주일에서 10일만 치료 받아보자. 하나도 안 나으면 3~4주라고 해도 그냥 나가버리자 그런 생각으로 왔어요.
이 환자분 말씀 잘 들으셨습니까? 일단 반신반의하는 마음으로 10일만 치료해 보자는 생각으로 오셨다고 했는데요. 저희가 허리디스크 파열이 심한 환자일수록 더 확신을 가지고 흡수도 잘될 거라고, 따라서 자연치유도 잘될 거니까 한 달 정도만 치료에 전념하시라고 말씀드리는 이유는 디스크 파열의 흡수 기전 및 흡수되는 과정과 통증이 가라앉는 기간 등은 이미 과학적으로 많이 밝혀져 있기 때문입니다.
디스크 파열이 심하면 우리 몸에서는 밀려 나온 디스크 수핵을 이물질로 인식합니다. 이런 이물질은 우리 몸에 쓸모없는 조직이기 때문에 우리 몸의 면역 시스템이 염증 반응을 통해 녹여서 없애는 것입니다. 이 밀려 나온 디스크 수핵이 녹아서 흡수되어 없어지는 과정이 염증 반응이기 때문에 심하게 아프고 고통스러울 수 있습니다. 그래도 밀려 나온 디스크를 녹여 없애는 통증이기 때문에 우리 몸에 좋은 이로운 염증이고, 나쁘지 않은 통증인 거죠. 그런데 이런 극심한 통증이 한없이 계속 지속되는 게 아닙니다. 통상 1주일~열흘 이내로 입원해서 적극적인 치료를 받다 보면 참기 힘든 극심한 통증은 가라앉습니다.
일단 극심한 통증이 저녁에 잠을 잘 수 있는 수준의 통증으로 가라앉으면 치료는 거의 반 이상 완성됐다고 볼 수 있습니다. 남아있는 통증과 마비 증상들은 전체 4주 정도의 시간을 거치면서 염증이 가라앉고 흡수가 일부라도 진행이 시작되면 통증은 거의 다 사라지고 마비 증상도 풀리게 됩니다. 이렇게 자연적으로 염증이 가라앉고 흡수가 진행되면서 디스크 파열이 치료되는 것이 훨씬 더 재발률도 떨어지고 수술처럼 우리 몸에 손상을 주는 게 전혀 없으니까 정말 좋은 치료인 것입니다.
그럼 도대체 저희는 무슨 치료를 환자에게 해주는 걸까요? 허리디스크 환자는 신경에 염증이 생기고 극심한 방사통이 생기니까 통증을 피하고자 온몸을 비틀게 됩니다. 발병 초기에는 24시간 아픈 경우가 많아서 하루 종일 온몸을 비틀다 보면 우리 몸의 근육이 다 틀어지고, 결국 척추가 뒤틀리게 됩니다. 이렇게 틀어지고 불균형하게 뭉치고 단축된 근육들은 오래되고 심해질수록 몸이 삐뚤어지게 만드니까 디스크의 흡수도 방해할 뿐만 아니라 염증이 가라앉는 것도 방해하기 때문에 디스크가 낫지 않고 오래 지속되는 원인이 되는 겁니다. 그래서 1~2달 이내 치료가 끝나야 할 디스크 파열이 근육이 심하게 뒤틀리고 몸이 삐뚤어진 사람들일수록 1년, 2년 혹은 그 이상의 시간이 지나도 쉽게 좋아지지 않는 겁니다.
이런 디스크 파열로 인해 극심하게 아픈 환자들에게 하루에도 4~6차례 지속적으로 반복해서 뭉치고 아픈 근육을 침, 약침, 봉침, 이완 추나요법, 도수치료 등을 통해 풀어주고 쉬고, 풀어주고 쉬고를 매일 몇 주간 반복하는 겁니다. 이렇게 하루에도 4~6회의 뭉치고 아픈 근육을 풀어주고 쉬고, 풀어주고 쉬고 하는 치료를 몇 주간 반복하다 보면 몸이 틀어지는 것을 막아주고 그사이에 염증은 가라앉고, 따라서 통증도 가라앉고 밀려 나온 디스크 수핵이 일부라도 흡수되기 시작하면 마비 증상도 풀리는 겁니다.
환자분의 근육 상태에 따라 마비가 풀리는 속도와 통증이 가라앉는 속도도 차이가 있는데요. 이 환자분은 근육 상태, 즉 근육량, 근력 등이 나쁘지 않은 상태였습니다. 이렇게 근력이 괜찮은 분들은 마비가 일주일에서 열흘 정도면 풀리고 통증이 사라지는 경우도 많은데요. 그럼 이 환자분도 열흘 정도의 짧은 기간에 마비가 풀리고 통증이 사라졌을까요? 이런 짧은 기간 안에 정말로 통증이 사라지고 마비가 풀린다면 수술 밖에 방법이 없다고 생각하는 환자분들은 이런 결과를 어떻게 받아들여야 할까요? 이 환자분의 치료 결과가 궁금하시다면 아래 영상을 꼭 보시길 바랍니다.
모커리 허리디스크 한·양방 협진 근육 재활치료법은 수술 없이 허리디스크를 치료하는 모커리 고유의 비수술 치료방법입니다. 디스크 통증은 물론 수술을 권유 받을 정도의 마비와 힘 빠짐을 동반한 디스크 파열 등의 중증 허리디스크를 수술 없이 허리디스크 한·양방 협진 근육 재활치료법으로 치료하고 있습니다. 모커리는 심하게 파열된 허리디스크뿐 아니라 수술 후 재발한 허리디스크, 척추유합술 후 재발한 허리디스크 등의 어려운 척추 질환을 비수술로 치료하고 있으며, 이러한 한·양방 협진 근육 재활치료법의 효과를 과학적, 객관적으로 검증하여 해외 유명학회 및 학술지 등에 지속적으로 발표하고 있습니다.

보다 많은 환자분들과 건강정보를 공유하고자 개방형 게시판으로 건강상담을 운영하고 있습니다. 목과 허리 통증•디스크•협착증•교통사고•어깨•무릎 등 궁금하신 질문을 남겨주시면 전문의가 최대한 자세하게 답변 드립니다.