처음 55살부터 허리가 제일 먼저 아팠어요. 계속 좀 안 좋고 안 좋은 게 쌓여 가지고 이렇게 됐어요. 작년 11월부터 많이 아팠어요. 남편 간호하다가 내가 이렇게 악화가 됐어요.
허리 안 좋은 거 말 못하죠. 허리가 제일 불편하고 오른쪽 다리가 걸음도 제대로 못 걸었어요. 다리가 이 위에 엉치 뼈 있는 데서부터 처음엔 무릎까지만 아팠어요. 그러다가 차츰 밑에 복숭아뼈 있는 데까지 아프게 됐어요. 걸을 수가 없었어요. 걷기도 괴로웠어요. 보행기 또는 지팡이 아니면 활동을 못했어요. 힘이 확 빠져버려서 이것도 저것도 아무 것도 안됐어요. 지팡이 짚고는 한 5분 정도 걸으면 많이 걸은 거였죠. 집에서 지팡이 없이는 안됐어요. 보행기 놔두고 좀 걸으려고 하면 보행기가 못 들어가는 장소인데 들어가야 하면 지팡이를 짚어야 했어요. 지팡이 짚고 그렇게 다녔어요.
허리가 아프고 다리가 아파 갖고 오른 발을 땅에 대는 것이 제대로 안됐어요. 참 불편한 거는 말도 못할 정도예요. 발이 바닥이 안 닿았어요. 너무 아파서 걸음을 떼면 발이 땅에 닿아야 되는데 이게 너무 아파서 안됐어요. 그래서 참 힘들었어요. 허리가 좀 많이 굽었어요. 굽어서 늘 허리가 너무 안 좋았어요.
시술도 두 번 받아봤어요. 두 번이나 했는데 시술도 해봐야 효과가 오래 못 갔어요. 대학병원도 가봤는데 병원 접수할 때 ‘나는 수술 하려고 지금 병원에 들어오는 게 아니다. 상태를 알아보려고 진찰을 한번 해보고 그뿐이지 나는 수술은 안 할 사람이다’ 그랬어요. ‘내가 젊었을 때부터 몸에 칼은 안 대고 살았는데 지금 나이가 몇인데 지금 내가 몸에 칼을 대 갖고 안 된다’ 그랬죠.
우리 딸이 강남에 고등학교 선생을 하고 있어요. 그래서 딸이 밤새도록 공부를 했어요. 모커리 병원을 찾아서 어떻게 하든지 엄마를 서울로 데리고 가야 되겠다 해서 오게 됐어요. 희망이 없었는데 여기 모커리에 와서 원장님한테 많은 희망을 걸었어요.
먼저 이 환자분에 대해 더 자세히 말씀 드리겠습니다. 이 환자분은 20년 이상 허리가 아팠고 7개월 전 남편분 병간호를 하시면서 협착증 증상이 악화됩니다. 허리통증 외에도 오른쪽 다리가 저리고 아파서 지팡이나 보행기 없이는 걸음을 걸을 수가 없게 됐습니다.
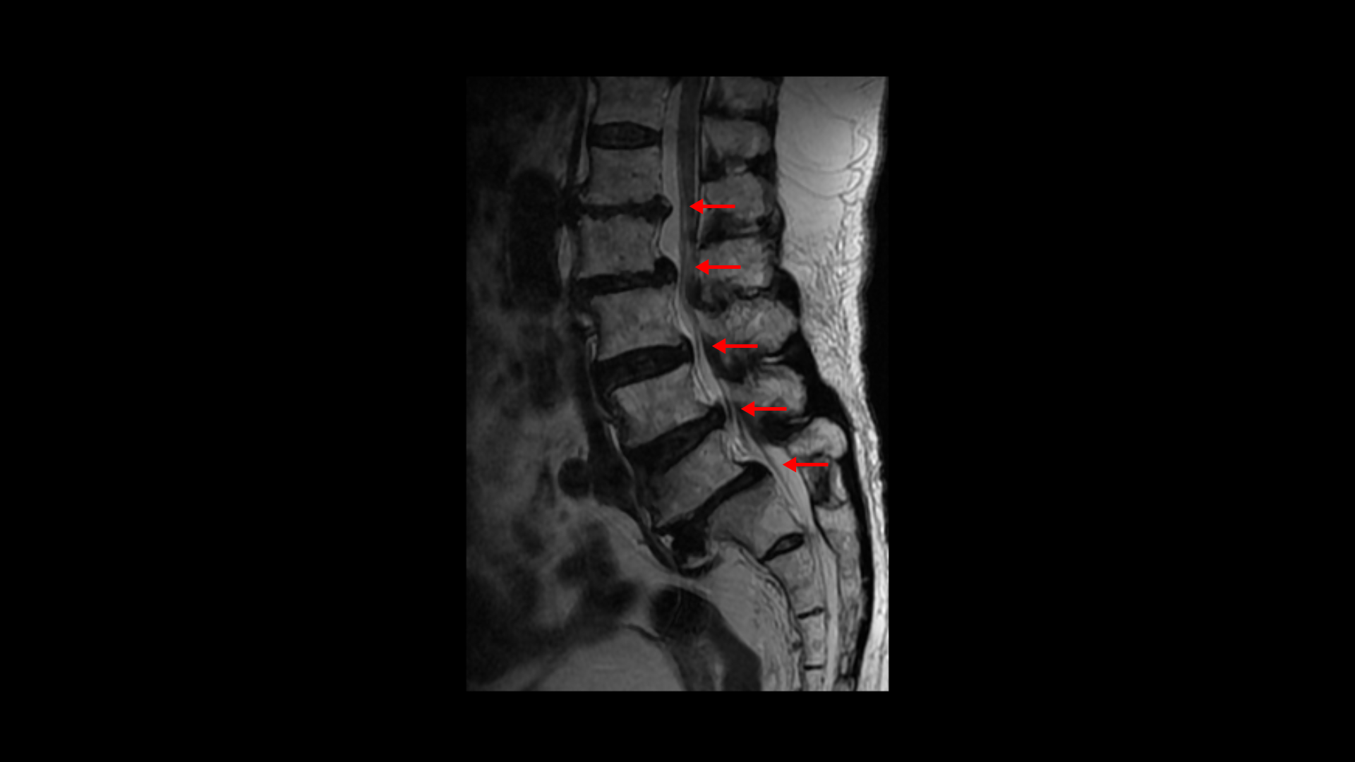
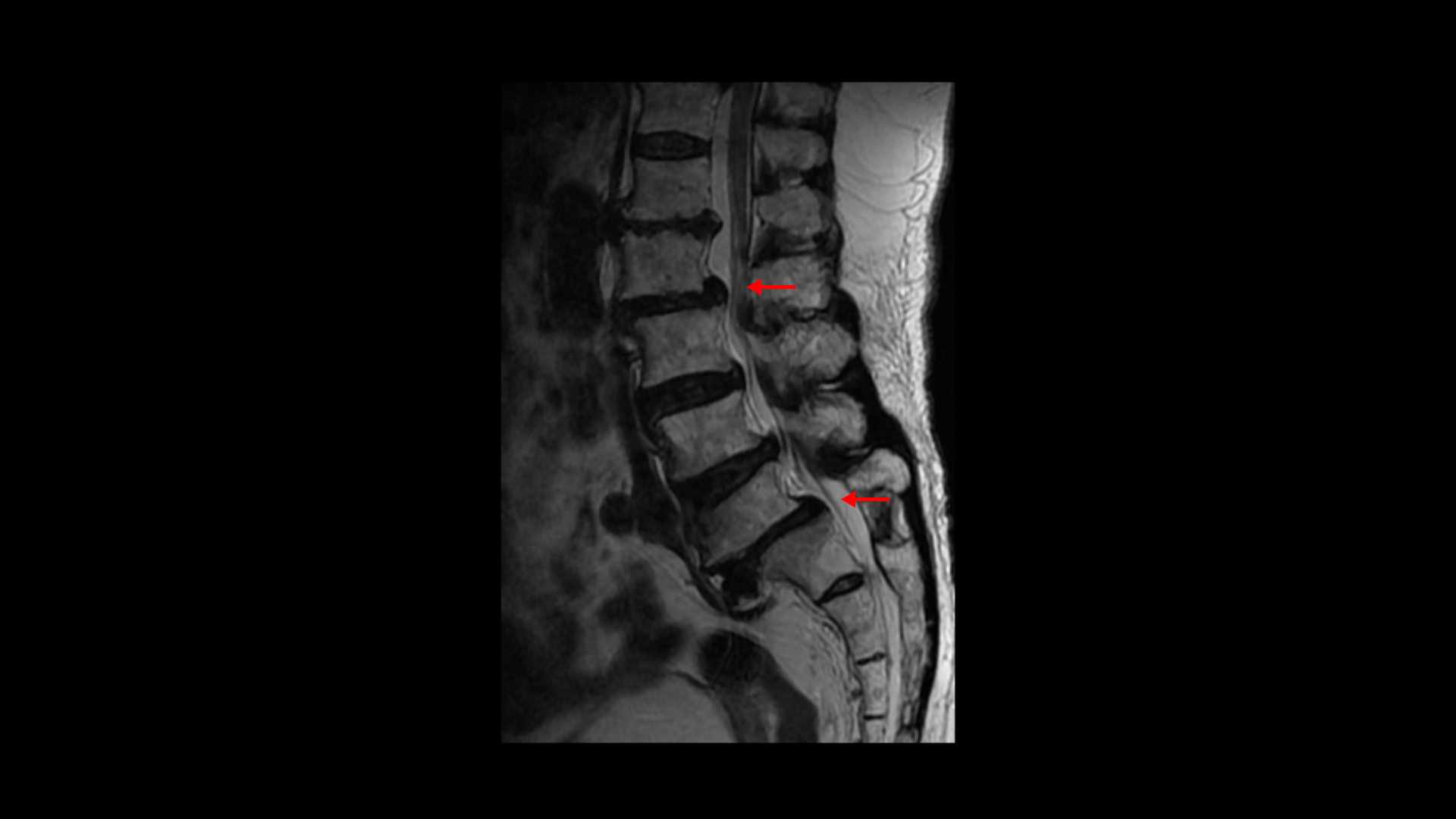
이분 MRI를 보면 보시다시피 허리의 5마디가 전부 퇴행이 진행되어 있습니다.
우선 전방전위가 2마디에 있고
여러 마디 2번 3번, 4번 5번에 척추관협착이 있고
2번 3번, 4번 5번, 오른쪽 신경가지가 빠져나가는 구멍들이 다섯 마디 전부가 다 오른쪽 좁아져 있습니다.
이분의 오른쪽 엉치와 다리가 저리고 아픈 원인은 이것 때문인 걸로 보입니다.
그런데 이분은 허리도 굽으셨는데 척추근육, 특히 허리를 세워주는 기립근을 mri에서 보면 허리 다섯 마디 전체에서 기립근의 근육이 지방으로 변해서 하얗게 보이는 지방화가 심합니다.
이렇게 근육이 지방으로 심하게 변하고 기능이 떨어지면 허리를 펴기가 어렵고 허리가 아플 수 밖에 없습니다. 여기 건강한 기립근과 비교해서 보면 그 차이를 금방 알 수가 있습니다. 기립근 크기도 차이가 크고 하얗게 지방으로 변해버린 부분을 잘 보실 수 있습니다.
이 환자분처럼 허리 여러 마디가 안 좋은 분들일수록 수술도 더 커지고 수술이 더 어려워지는데요. 보통 여러 마디를 수술하려다 보면 척추가 불안정해지므로 나사 박는 유합술을 권유 받게 됩니다. 이 환자분은 아예 처음부터 절대로 수술을 안 받겠다고 결심을 하신 상태라 아예 수술 설명은 듣지를 못하셨습니다. 아마 수술설명을 들으셨다면 여러 마디의 수술이고 전방전위도 있고 해서 다분절 유합술을 권유 받으셨을 가능성이 높습니다. 아무튼 이렇게 여러 마디가 심하게 안 좋은 환자분을 어떻게 수술 없이 치료할 수 있을까요?
저희는 수많은 영상을 통해 협착증 증상은 신경구멍이 좁아진 것 외에도 근육과 매우 밀접한 관련이 있다고 말씀드리고 있는데요. 이 환자분의 척추 여러 마디의 퇴행성 변화는 이미 수십 년 전부터 시작되어 아마 몇 년 전부터는 지금과는 크게 다를 바 없는 그런 상태일 겁니다. 그런데 수십 년간 아팠던 것이 작년에 남편분을 간호하면서 무리하다 보니까 증상이 갑자기 더 심해집니다. 그 얘기는 무슨 뜻이냐면 근육의 상태가 그런대로 작년 11월까지는 버티던 것이 무리하는 과정에서 근육에 문제가 생기고 그래서 근육이 더 뭉치고 아프고 근육 기능도 더 떨어지는 겁니다. 이렇게 근육 상태가 안 좋아지면 근육이 척추를 지탱하지 못하니까 신경 눌림도 심해지고 다리 저림도 심해지는 겁니다. 그래서 근육 재활치료로 근육의 상태가 좋아지고 근육기능만 좋아져도 신경 눌림 증상, 즉 방사통이 줄어들고 좋아지는 겁니다. 또 허리를 펴주는 근육인 기립근 등이 뭉치고 아프면 당연히 힘을 못 쓰니까 허리가 구부러지는데 이 기립근 등을 잘 치료해서 뭉치고 아픈 게 좋아지고 재활 운동을 통해 기능이 좋아지면 허리를 더 잘 펴고 더 잘 걸을 수 있게 되는 겁니다.
여러분이 이런 근육과 신경의 관계를 제대로 이해하지 못하면 저희가 치료한 수많은 신경이 눌려서 다리에 힘이 빠지고 마비가 생긴 환자가 어떻게 근육 재활치료로 마비가 풀리는지 이해 할 수가 없습니다. 저희가 근육과 신경의 관계를 설명할 때 이런 예를 많이 듭니다. 80세의 말기협착증 환자의 근육을 60세의 안 아팠을 때의 근육으로 교체한다면 협착증 환자의 증상이 어떻게 되겠냐구요. 당연히 훨씬 덜 아프거나 안 아플 가능성이 매우 높습니다. 신경구멍이 좁아져 있어도 척추 주변 근육의 상태가 좋아서 잘 버텨주면 당연히 신경 눌림도 줄어들거나 없어지는 것이죠.
저희가 80세 환자의 근육을 한달 만에 60세의 근육으로 만들어 드릴 수는 없지만 적극적인 근육치료를 통해 근육 상태를 현재보다는 훨씬 더 좋게 만들 수는 있습니다. 그럼 어떻게 근육을 더 좋은 상태로 만들 수 있을까요?
우선 이런 고령의 협착증 환자분들의 근육은 근육량도 많이 감소되어 있고 얼마 남지 않은 근육으로 일어서고 앉고 걷는 활동들을 버티다 보니까 근육들이 전부 다 뭉치고 굳어있고 아픈 상태입니다. 이런 근육들을 입원상태에서 하루에도 4~6번 이상 치료해서 풀어주고 쉬고, 풀어주고 쉬고를 몇 주간 반복하다 보면 이 근육들의 뭉친 게 풀어지고 통증이 줄어듭니다. 통증이 줄어들면 저강도의 재활운동을 통하여 약해진 근육들의 근육기능회복 운동을 시작합니다.
뭉친 근육들이 다 풀리고 재활운동을 통해서 약해진 근육들의 기능이 살아나면 협착증 환자분들이 훨씬 더 힘차게 일어서고 더 잘 걸으실 수 있습니다. 또 허리 뒤쪽의 허리를 펴주는 기립근의 기능이 조금씩 회복되면 허리를 더 잘 펼 수 있고 따라서 굽은 허리도 펴지게 됩니다.
이렇게 허리 주변 근육들이 좋아지면 허리를 잘 버텨주니까 많은 환자분들이 신경이 눌려서 신경학적 증상이라고 여기는 다리저림, 방사통, 엉덩이 통증, 다리 힘빠짐, 증상들이 좋아지는 겁니다. 이것이 바로 협착증이 수술 없이 치료 가능한 이유입니다. 그럼 이 환자분은 4주간의 입원치료로 얼마나 어떻게 좋아지셨을까요? 지팡이나 보행기 없이는 걸으실 수 없었는데 4주 만에 지팡이나 보행기 없이 걸으실 수 있게 되셨을까요? 허리가 굽으셨는데 허리를 더 반듯이 펴고 걸으실 수 있게 되셨을까요? 이분의 치료 후 결과가 궁금하시다면 아래 영상을 꼭 보시길 바랍니다.
모커리 척추관협착증 ABCDE 한·양방 협진 재활치료법은 수술 없이 협착증을 치료하는 모커리 고유의 비수술 치료방법입니다. 한쪽 다리의 통증만 있는 초기 협착증부터 다리에 힘이 빠지고 몇 걸음 걷지 못하는 말기 협착증까지 ABCDE 척추관협착증 비수술 치료법으로 치료하고 있습니다. 모커리는 수준 높은 임상연구를 통하여 말기 협착증 환자가 ABCDE 재활치료로 통증 없이 걷는 거리가 11배 증가했다는 것을 과학적으로 객관적으로 증명하여 국제학술지에 논문을 발표했습니다.

보다 많은 환자분들과 건강정보를 공유하고자 개방형 게시판으로 건강상담을 운영하고 있습니다. 목과 허리 통증•디스크•협착증•교통사고•어깨•무릎 등 궁금하신 질문을 남겨주시면 전문의가 최대한 자세하게 답변 드립니다.
| 제목 | |||||||||
|---|---|---|---|---|---|---|---|---|---|
|
|||||||||
|
|||||||||
|
|||||||||
|
|||||||||