“저녁에 샤워를 하는데 다리에 감각이 없는 거예요. 그래서 ‘이거 이상하다’ 생각을 하고 아침에 일어나서 일단 MRI를 찍어야겠다. 그래서 병원에 가서 MRI를 찍었는데 터진 디스크가 보통 아래로 흘러내려가는데 저는 위로 흘러 올라 갔더라고요. 그렇게 디스크 파열이 시작됐고 신경 차단 주사를 두번 맞았는데 제가 원하는 만큼 효과가 나오지 않아서 한방치료를 하겠다고 결정을 하고 모커리에 와서 침도 맞고 한약도 먹었습니다.”
이 환자분은 가정의학과 전문의 선생님입니다. 디스크 파열 후 신경 주사 치료가 효과가 없자 대학병원에서 수술하자는 강력한 권유를 거절하고 저희 모커리에서 근육 재활치료를 받으셨습니다. 이분은 양방 의사 선생님인데 왜 한방병원에 와서 한방치료, 정확히 얘기하자면 한양방 협진 근육 재활치료를 받으셨을까요? 제가 먼저 간단히 설명해 드린 후 이분으로부터 왜 디스크 파열은 서둘러 수술하기보다는 우선적으로 비수술 치료를 먼저 제대로 받아야 하는지, 그리고 비수술 치료 중에서도 근육 치료가 왜 중요한지, 또 침, 추나요법, 도수치료 등은 어떻게 하면 도움이 되고 어떻게 하면 오히려 해가 되는지, 또 허리디스크 파열 치료에 왜 쉬는 게 정말 중요한 건지 마지막으로 비수술 치료에 왜 저희 모커리를 선택하신 건지 등에 대해 자세히 들어보도록 하겠습니다.
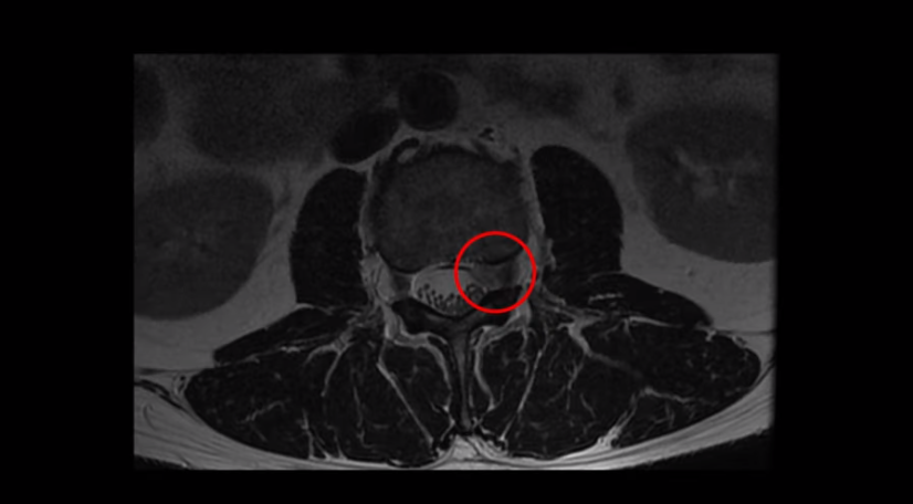
우선 이분 MRI를 보면 디스크가 심하게 터져 위로 밀려 올라가 있습니다. 신경가지가 나가는 구멍을 보시다시피 막고 있으니까 마비 증상과 방사통이 있습니다.
그런데 저희 모커리는 이렇게 심하게 파열된, 특히 수핵이 밀려 나와서 아래로 흘러내리거나 위로 올라가 버릴 정도의 심한 파열일수록 오히려 치료가 더 쉽고 잘 된다고 여러 영상을 통해 지속적으로 말씀드리고 있습니다. 그 이유는 디스크 파열이 심하면 심할수록 밀려 나온 수핵이 깨끗이 흡수되어 없어질 가능성이 높기 때문입니다. 그럼 이분은 치료가 끝나고 6개월 후에 MRI를 다시 찍으셨는데 과연 밀려 나온 디스크 수핵이 전부 다 깨끗이 흡수되었을까요? 이분이 치료 끝나고 6개월 후에 찍은 MRI 영상은 치료 후 결과영상에서 보실 수 있습니다.
밀려 나온 디스크 수핵이 없어지는 이유는 심하게 밀려 나온 수핵일수록 우리 몸에서는 이물질로 인식되고 이런 이물질은 우리 몸의 면역시스템이 녹여 없애는 겁니다. 그래서 이런 파열이 심한 환자분들은 통증이 극심할 수도 있고 마비가 있을 수도 있지만 비수술 치료를 잘 받으면 흡수가 깨끗이 이루어지고, 따라서 치료가 성공적으로 끝날 가능성이 매우 높기 때문에 가능하면 수술을 서두르지 말고 비수술 근육 재활치료를 받아보시라고 말씀드리고 있습니다. 그런데 디스크 파열 비수술 치료, 특히 근육재활치료를 가장 성공적으로 할 수 있는 방법은 입원 치료를 하는 겁니다. 입원 치료라는 건 누워서 쉬면서 치료를 받는 것이죠. 통증이 있을 때 누워서 쉬는 건 정말 중요합니다. 이 가정의학과 전문의 선생님은 이러한 내용을 잘 알기 때문에 신경 주사 맞고 효과가 없자 바로 저희 모커리를 찾아오셨는데요. 이분 얘기를 먼저 더 듣고 말씀드리겠습니다.
여름 저녁에 집에서 샤워를 하고 있는데 다리를 딱 만지는데 감각이 이상한 거예요. 그래가지고 ‘어? 이거 이상하다’ 그래서 아침에 일어나서 병원을 먼저 가야 되겠다 생각을 해서 MRI를 찍었죠. 찍고 나서 보니까 많이 심하게 터졌더라고요. 그래서 일단 양방병원에 가야 되겠다는 생각을 사실 했어요.
제가 졸업한 OO대학병원에 갔었어요. 제가 생각한 것보다 상태가 굉장히 심각을 했고 가서 이제 신경 차단술로 2회를 받았는데 C-arm 보면서 신경 차단술 두 번 했죠. 한 번 하고 효과가 별로 없어서 두 번까지 하고는 한 10% 20%밖에 안 좋아져서 제가 더 안 하겠다고 했습니다. 왜냐하면 아프기는 엄청 아프고 효과는 별로 없어서 제가 더 이상 안 하겠다고 했습니다.
처음에 신경주사 두 번 정도 맞고는 나머지는 사실 누워 있는 것밖에 하지 않았어요. 그래서 사실 별다른 더 치료의 방법이 없다. 그래서 그냥 누워 있고 그냥 시간이 됐길래 그냥 저는 퇴원하겠다. 더 이상 양방 비수술 치료에 의미가 없어서 사실 아시겠지만 양방병원에 가면 비수술 치료가 특별한 게 없습니다. 수술하는 거 아니면 그냥 누워 있는 것밖에 없어요.
수술을 굉장히 강력하게 권유를 받았는데 제가 거절을 했죠. 수술을 하게 되면 어쨌든 문제가 생길 수 있는 소지들이 있으니까 저는 못하겠다. 수술은 제가 판단하기에는 정말 최후의 수단으로 해야 될 것 같습니다. 수술이 효과가 없다고 논하는 것보다 수술을 해야 되는 사람을 정확히 맞춰서 해야 되는데 사실 그런 어떤 가이드라인이 생각보다 명확치 않고요. 환자 개개인마다 수술을 받았어야 되는데 못 받은 사람도 있고 그다음에 안 받아야 되는 사람이 받은 경우도 많이 있어서 사실 그렇게 되면 결과를 논하기가 되게 어렵거든요. 특히 안 받아야 되는 사람이 받고 나면 사실은 우리가 말하는 후유증들이 많이 생기거든요. 그렇게 되면 생각보다 결과도 안 좋고 수술한 사람도 괴롭고 받은 사람은 더 괴롭고 다시 그걸 돌려놓을 수가 없기 때문에 제가 봐서는 충분히 보존적인 치료를 하고 정말 마지막 순간에 수술을 선택하는 게 제일 맞다고 저는 생각을 합니다.
저는 보존적 치료를 해야 된다는 생각을 했고요. 그 다음에 한방에서 어떤 치료를 하는지는 제가 알고 있었고 그래서 보존적 치료를 할 거라면 차라리 그냥 양방에 누워 있는 것보다 한방 가서 치료를 받는 게 낫겠다라는 생각을 했습니다. 그래서 모커리에 와서 침도 맞고 도수 치료 같은 것도 있고 이런 것들이 사실 약물 스테로이드, 진통제 보다 훨씬 더 낫다고 생각을 했어요. 사실 양방에 있으면 보존적 치료는 대부분 이제 누워 있는 게 가장 메인 치료입니다. 그래서 처음에 신경차단술 받고 나서는 사실 누워 있는 일이 대부분이었고 거기서 간단한 물리치료 받는 거 외에는 사실 특별한 치료가 없었어요. 그러니까 처음에 양방에서 하는 신경주사 치료를 다 하고 나서 그 다음 보존적인 치료를 하려고 했을 때 양방에서 하느냐 한방에서 하느냐를 결정해야 될 때 제 생각에는 한방에서 하는 게 더 낫겠다는 거를 말씀드리는 거예요. 제가 생각하기에는 한방이 더 낫겠다. 뭉친 근육만 잘 풀어줘도 내가 좋아질 수 있겠다는 생각을 했죠.
아까 말씀드렸지만 디스크라는 질환이 근육이 틀어져 있고 불편한 경우가 많거든요. 사실 그 아픈 게 아픈 원인이 결국 근육의 틀어짐 저도 그런 거라고 생각을 했고 그런 것들을 바로잡아주면 통증을 줄여주는 효과가 있다고 생각을 했습니다. 그러니까 사실은 추나요법이나 도수치료를 과하게 하면 문제가 생깁니다. 그러니까 틀어진 근육을 치료해서 낫게 하겠다 이런 식으로 무리하게 하면 굉장히 문제가 되는데 모커리에서 받은 도수 치료는 어떤 근육을 풀어주고 어떤 무리하지 않는 선에서 시술을 한다는 느낌, 추나요법도 그렇고 도수치료도 마찬가지고 근육을 풀어줘서 편안하게 해준다는 느낌으로 하는 게 좋았어요.
저는 이렇게 생각을 했어요. 그러니까 양방병원에 가면 진통소염제라는 걸 주잖아요. 물론 저도 진통소염제를 받았고 근데 진통소염제라는 게 오래 먹게 되면 여러 가지 문제들이 생기고 불편하잖아요. 그래서 좀 장기적으로 약을 먹어야 된다고 한다면 어차피 진통소염제가 안 아프게 하고 그런 효과를 낸다면 한약도 같은 효과를 낸다고 생각하면 양약을 먹느냐 한약을 먹느냐의 차이라서 양약은 충분히 제가 대학병원에 입원하는 동안도 충분히 먹었고 했기 때문에 한약으로 해보겠다고 제가 선택을 했죠.
아무래도 디스크라는 병이 결국 보존적 치료로 잘 하게 되면 충분히 완전히 좋아질 수 있는 부분이 있다라는 걸 제가 아프고 나서 좀 더 공부를 해보니까 깨닫게 됐어요. 그래서 디스크는 보존적인 치료를 잘 해야 되겠다라는 생각을 했죠. 그래서 수술은 안 하겠다고 생각을 하고 수술을 안 했을 때 어떤 방식이 가장 좋겠느냐를 생각했을 때 제가 선택을 모커리한방병원으로 했죠. 모커리한방병원에 온 이유는 아무래도 모커리한방병원이 목, 허리쪽을 잘 본다는 걸 제가 이미 알고 있었고 그리고 제가 OO대 의대를 나왔기 때문에 OO 한의대 나온 선생님들하고의 동문으로서의 유대감도 약간 있었기 때문에 모커리한방병원에 가야겠다고 마음 먹었죠.
이분 말씀 잘 들으셨습니까? 디스크는 파열이 심하면 심할수록 더 흡수가 잘되는 질환이기 때문에 치료가 매우 잘 되는 질환입니다. 디스크 파열로 생긴 급성염증이 1~2달 내로 가라앉고 따라서 통증도 가라앉고 밀려 나온 수핵이 흡수되기 시작하면 디스크 파열로 인한 치료가 성공적으로 끝나는 겁니다. 그런데 6개월, 1년, 2년이 지나도록 좋아지지 않고, 아주 오랫동안 아파서 계속 고생하는 디스크 파열 환자들은 왜 그런 걸까요? 그건 바로 극심한 통증으로 인해 우리 몸의 근육이 다 틀어져 버리기 때문입니다.
디스크가 파열되어 극심한 통증이 발생하면 우리는 그 통증에서 벗어나려고 안 아픈 자세를 찾기 위해 온몸을 비틀게 됩니다. 그 과정에서 근육이 약한 사람들, 근육 상태가 안 좋은 사람들일수록 온몸이 틀어지게 됩니다. 그렇게 되면 염증이 가라앉고 흡수가 시작되어야 할 1~2달이 지나도 염증이 잘 가라앉지 않고, 통증도 좋아지지 않고, 밀려 나온 수핵의 흡수도 방해를 받게 됩니다. 그래서 1~2달에 끝나야 할 치료 기간이 1년, 2년이 넘도록 좋아지지 않는 겁니다. 그래서 급성기에 쉬는 게 중요한 겁니다. 주사 맞고 통증이 남아있는데도 쉬지 않고 출근해서 틀어진 몸으로 앉아 있고 허리를 구부렸다 폈다 하고 절뚝거리면서 틀어진 몸으로 걸어 다니면 좋아질 가능성이 낮아집니다. 근육이 뒤틀려서 몸이 다 틀어져 버리면 통증이 쉽게 가라앉지를 않습니다. 또 순환이 잘 안되니까 디스크의 흡수도 방해를 받게 됩니다. 이 환자분도 그러한 사실을 알고 있었고 주사 치료 후 출근해 보고 몸의 상태가 쉬어야 한다는 걸 절실히 느꼈기에 바로 한 달 휴직하고 누워서 쉬면서 치료받는 것을 선택했습니다. 그래서 모커리 디스크 파열 근육 재활치료란 뭉치고 뒤틀리고 아픈 근육들을 하루에도 4~5번씩 지속해서 매일매일 풀어주고 쉬고, 풀어주고 쉬고를 반복해 주는 겁니다. 이렇게 근육들이 뭉치고 뒤틀리고 하는 걸 치료해서 몸을 틀어지지 않고 반듯하고 좋은 상태를 유지하게 되면 발병 1~2달 후 염증이 가라앉고 흡수가 시작되면 통증이 완전히 사라지고 디스크 치료가 끝나는 겁니다.
그래서 도수치료나 추나요법도 뒤틀리고 틀어진 근육과 몸을 무리하게 힘을 써가며 강제로 교정하면 안 되고 아주 부드럽게 뭉치고 굳고 아픈 근육들을 하나 하나 풀어줘야 하는 겁니다. 이 환자분도 그 부분에 대해 말씀하셨습니다. 이렇게 부드럽게 뭉치고 굳고 뒤틀린 근육들을 풀어주고 쉬고, 풀어주고 쉬고를 반복하다 보면 틀어진 몸이 반듯하게 정상으로 돌아오고, 또 계속 쉬면서 몸을 반듯하게 유지하니까 한 달 정도면 심한 염증도 가라앉고 따라서 통증도 가라앉고 모든 게 정상으로 돌아오면 디스크 파열 치료가 완성되는 것입니다. 이분은 대학병원 퇴원 후에 한 달간 모커리 치료를 받으시면서 거의 대부분의 시간을 누워서 푹 쉬셨는데, 과연 한 달 내로 통증이 다 가라앉아서 치료가 성공적으로 끝났을까요? 치료 끝나고 6개월 후에 MRI를 찍어보셨는데 밀려 나온 수핵이 다 흡수가 되었을까요? 이분의 치료 후 결과가 궁금하시다면 아래 영상을 꼭 보시길 바랍니다.
모커리 허리디스크 ABCDE 한·양방 협진 재활치료법은 수술 없이 허리디스크를 치료하는 모커리 고유의 비수술 치료방법입니다. 디스크 통증은 물론 수술을 권유 받을 정도의 마비와 힘 빠짐을 동반한 디스크 파열 등의 중증 허리디스크를 수술 없이 ABCDE 허리디스크 비수술 치료법으로 치료하고 있습니다. 모커리는 심하게 파열된 허리디스크 뿐 아니라 수술 후 재발한 허리디스크, 척추유합술 후 재발한 허리디스크 등의 어려운 척추 질환을 비수술로 치료하고 있으며, 이러한 ABCDE 치료법의 효과를 과학적, 객관적으로 검증하여 해외 유명학회 및 학술지 등에 지속적으로 발표하고 있습니다.

보다 많은 환자분들과 건강정보를 공유하고자 개방형 게시판으로 건강상담을 운영하고 있습니다. 목과 허리 통증•디스크•협착증•교통사고•어깨•무릎 등 궁금하신 질문을 남겨주시면 전문의가 최대한 자세하게 답변 드립니다.