“그냥 주사 치료만 하면서 한 5~6년을 지냈는데 올 2월에 주사를 맞은 다음에 완전히 몸을 못 써버렸어요. 집에서 화장실도 지팡이 짚고 가야 하고 그래서 큰 병원인 OO대 병원에 가서 MRI를 찍었더니 거기서는 수술을 안 해주려고 해요. 그냥 약만 주고. 지금 수술을 해봤자 위험하니까 허리가 숙여져서 오히려 더 안 좋으니까 약을 먹고 좀 기다려보라고 하더라고요.”
이 환자분 MRI를 보면서 더 자세히 설명 드리겠습니다. 이분은 허리의 다섯 마디가 다 안 좋은 환자분입니다. 84세 고령의 나이에 이렇게 여러 마디가 안 좋으면 대학병원에서도 수술이 어렵다는 얘기를 듣는 경우가 많습니다. 또 수술을 하더라도 결과가 안 좋을 수 있다는 얘기를 들을 가능성이 높습니다.
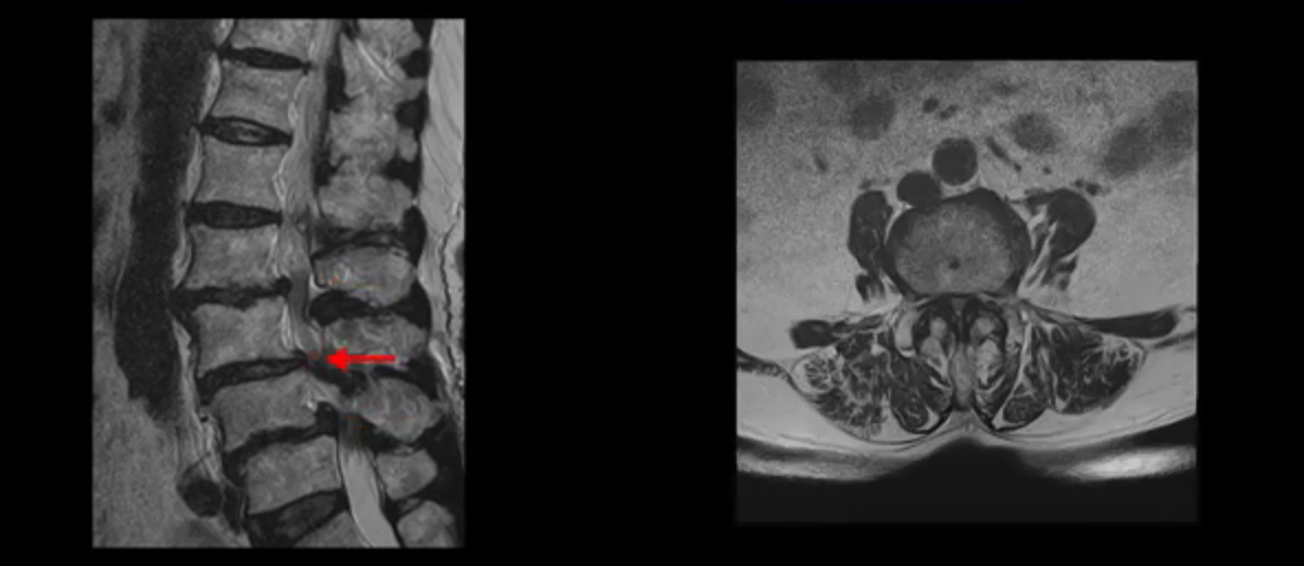
보시다시피 허리 다섯 마디 전부가 다 퇴행되어 있고,
두 마디에 전방전위증이 있고,
2번 3번,
3번 4번,
4번 5번에 중심성 협착이 심하고
거의 모든 추간공 즉, 신경가지가 좌우로 빠져나가는 구멍이 다 좁아져 있습니다.
척추가 이런 상태니까 양쪽 엉치와 다리가 다 저리고 아프며 지팡이를 짚고 겨우 걷는 상태였습니다. 이렇게 국내 최상위 대학병원에서도 수술하지 말라고, 수술하면 더 안 좋을 거라는 얘기를 들은 고령의 말기 협착증 환자가 근육 재활치료로 좋아질 수 있을까요? 당연히 좋아질 수 있습니다. 무슨 근거로 이렇게 자신있게 얘기하는 걸까요? 왜냐하면 근육이 좋아지는 만큼 협착증 증상이 좋아지기 때문입니다. 근육은 뭉친 걸 반복해서 풀어주고 환자 상태에 맞는 적절한 운동을 잘 하는만큼 좋아질 가능성이 매우 높습니다. 저희는 수많은 치료 후기와 임상시험을 통한 국제학술 논문 등을 통하여 이렇게 여러 마디가 안 좋은 고령의 말기 협착증 환자분들도 근육을 치료하여 근육 상태가 좋아지면 협착증 증상이 좋아진다는 걸 계속해서 보여드리고 있습니다.
근육이 좋아지면 왜 협착증 증상이 좋아질까요? 척추를 지탱하는 건 근육입니다. 당연히 근육이 좋아져서 척추를 잘 지지하게 되면 신경 눌림도 줄어들어 다리 방사통을 훨씬 덜 느끼거나 못 느끼게 됩니다. 또 오래된 협착증 환자분들이 느끼는 엉덩이나 다리 통증은 신경학적 방사통만 있는 게 아니라 만성적인 근육통도 있습니다. 이런 증상들이 근육 재활치료를 통해 근육이 좋아지면 신경학적 방사통도 함께 좋아지는 겁니다.
그럼 이런 환자분들의 근육 치료는 어떻게 할까요? 이분 말씀 더 들어보고 설명 드리겠습니다.
제가 한 몇 년 전부터 허리가 안 좋은 것 같아서 병원에서 MRI를 찍었어요. MRI를 찍고 나니까 그 병원에서 하는 말이 수술하면 안 된다고 그래요. 수술이 잘 안되면 병신 된다고 그래서 그냥 주사 치료만 하면서 한 5~6년을 지냈는데 올 2월에 주사를 맞은 다음에 완전히 몸을 못 써버렸어요. 집에서 화장실도 지팡이 짚고 가야하고 그래서 큰 병원인 OO대 병원에 가서 MRI를 찍었더니 거기서는 수술을 안 해주려고 해요. 그냥 약만 주고. 지금 수술을 해봤자 위험하니까 허리가 숙여져서 오히려 더 안 좋으니까 약을 먹고 좀 기다려 보라고 하더라고요.
그렇게만 있으려니까 답답해서 죽겠길래 유튜브를 봤어요. 보니까 무슨 신경외과인데 간단한 수술이 있다고 그러더라고요. 감압술인가 그걸 하면 2~3일 만에 퇴원해서 나온다고 그래서 아 감압술 하면 괜찮겠다 하고 마음 먹고 신경외과에 갔었죠. 거기 가니까 그 수술방법이 나한테 안 맞대요. 그러니까 유합술을 해야 된대요. 그러더니 다른 더 큰 대학병원으로 연계를 시켜줘요. 서울 OO대 병원으로 예약을 시켜주더라고요. 그래서 OO대병원에서 보더니 너무 위험하다고 하면서 유합술을 하는데 나사못을 8개를 박아야 된대요. 그러더니 그렇게 나사못 박아야 한다고 해놓고는 계속 검사만 한 거예요. 5개월 동안 검사만 막 하는 거예요.
수술 해야 된다는 말만 했지 수술 후에 좋아진다고는 말 안 했어요. 정해 놓은 수술 날짜를 세 번을 미뤘어요. 그러면서 계속 검사만 하는 거예요. 5개월을 여기서 검사만 하는 거예요. 수술 날짜를 세 번을 미루면서 수술할 때 위험하다고 내 몸 다른 상태를 보느라고 그렇다는데 그거 핑계 같아요. 그래서 그럴 바에는 나는 수술 안 하련다.
양쪽 다리가 다 아픈데 오른쪽이 더 많이 아프고 왼쪽은 엉치부터 그 아래가 아프고 그러면서 다리가 땡땡 부어가지고 걸을 때 무릎 있는 데가 많이 아파요. 얼마 못 걸어요. 얼마 가면 아파서 못 걸었어요. 화장실 가려면 지팡이만 갖고 가면 힘드니까 옆에 벽 잡고 같이 가는 거예요. 서기는 하는데 이렇게 발 떼고 못 가니까 지팡이 짚고 벽 잡고 화장실을 갔죠. 그래서 집에서만 있었죠. 5개월 동안 꼬빡 집에 있었어요.
처음엔 주사를 맞으면 괜찮았는데 차근차근 조금씩 주사를 맞아도 효과 있는 기간이 금방 짧아지더라고요. 이제 내 생각에는 주사는 절대 안 되는 것 같아요. 주사 맞으면 안 돼요. 주사 맞고 며칠은 좋죠. 처음에는 효과가 한 달 갈 수도 있고 3주도 간다는데 갈수록 효과가 안 돼요. 치료가 절대 안 돼요. 주사를 맞아도 통증이 그대로 있는 거죠.
내가 찾았죠. 유튜브 보고 찾아서 모커리에 전화를 했었죠. 여기는 수술하는 병원이 아니고 근육 치료로 수술 없이 치료한다고 그래요. 그러니까 나 수술 안하고 그냥 모커리 갈란다 했죠. 처음에 믿음은 없었죠. 저는 본래 한방을 안 좋아 했거든요. 한방치료로 뭐 낫냐 그랬었는데 우리 며느리는 한방을 좋아해요. 며느리한테 내가 모커리 가겠다고 말하니까 ‘아 그래요 어머니 제가 한번 예약 해볼게요’ 그러더니 여기에다가 연락을 해가지고는 진료 날짜를 잡아줬어요.
여기 오려고 머리 하러 미장원에 갔더니 미장원에서 ‘아이고 그런데 가면 돈만 쓰지 절대 안 낫는다’고 수술을 하려고 날짜를 잡아놨으면 수술을 하지 왜 한방치료 하냐고 말리더라고요.
많은 분들이 협착증이 악화되는 걸 신경 구멍이 점점 좁아져서 신경이 더 많이 눌리니까라고만 생각합니다. 그러나 협착증이 악화되는 가장 큰 이유는 60세, 70세, 80세 나이가 점점 들어가면서 근육이 많이 감소되고 약해지기 때문입니다. 신경 구멍은 협착증 증상이 발생하기 이미 오래전부터 좁아져 있습니다. 신경이 눌려있어도 그런대로 잘 걷고 생활하던 협착증 환자가 80이 넘어가면서 근육이 급속히 더 많이 줄어들면 허리를 잘 지탱하지 못하니까 신경도 더 눌리게 되고 방사통도 더 느끼는 것입니다. 그래서 근육만 좋아져도 신경 증상이 좋아지는 것입니다.
그럼 이런 근육을 좋게 하는 치료는 어떻게 하는 걸까요? 입원한 상태에서 근육을 편하게 쉬게 해주고 하루에 4번에서 5번 이상 근육을 치료하고 쉬고, 치료하고 쉬고를 반복합니다. 이런 고령의 오래된 협착증 환자분들은 근육이 많이 줄어들고 있고 약한 상태에서 앉고 서고 걷고 등의 일상생활을 하다 보니 그 부담 때문에 근육이 모두 심하게 뭉쳐있고 굳어있습니다.
이렇게 뭉치고 굳은 근육을 입원한 상태에서 하루에도 4번에서 5번 이상 치료해서 풀어주고 쉬고 풀어주고 쉬고를 1~2주간 반복하다 보면 뭉치고 굳은 근육이 풀어지고 통증이 줄어듭니다. 통증이 줄어들면 저강도의 재활 운동을 추가로 하게 됩니다.
그래서 뭉친 근육을 치료해서 풀어주고 쉬고 운동하고 풀어주고 쉬고 운동하고를 하루에도 4~5회 반복하는 겁니다. 이런 치료를 4주 정도 지속하다 보면 오랫동안 수년간에 걸쳐 뭉치고 굳어있는 근육들이 풀리고 근육의 기능이 좋아지니까 통증이 줄어들고 또 기능이 좋아진 근육이 허리를 잘 지탱하게 되니까 방사통이 없어지거나 훨씬 덜 느끼게 되는 겁니다.
오랜 시간에 걸쳐 약해지고 뭉치고 굳고 아픈 근육을 풀어주고 치료하는 방법은 한방과 양방의 근육치료에 관련된 모든 방법을 총동원하여 진행하는데, 한방치료로는 침, 약침, 봉침, 이완추나요법, 양방 치료로는 도수치료, 물리치료, 재활 운동치료 등이 있습니다.
이런 여러 가지 근육 치료 방법을 총동원하여 하루에도 4번에서 5번 근육을 풀어주고 쉬고 운동하고를 몇 주간 반복하다 보면 아무리 심한 협착증 환자라도 근육이 좋아지면서 다리에 힘이 생기고 따라서 더 힘차게 일어서서 걸을 수 있게 되고 또 허리 주변 근육이 허리를 더 잘 지지해 주니까 신경 눌림 증상을 덜 느끼거나 못 느끼게 되는 겁니다. 그리고 허리 기립근 등의 기능이 좋아지면 굽었던 허리도 펴지는 겁니다. 이 환자분은 다리 증상 외에도 옆구리 통증도 있으셨는데요. 4주 정도의 입원 치료로 다리 통증과 옆구리 통증이 좋아지고, 오래전부터 굽어있던 허리가 펴질 수가 있을까요? 대학병원에서 수술도 어렵다고 한 환자가 근육 치료로 정말 어디까지 좋아질 수 있을까요? 지팡이 없이도 잘 걸을 수 있을까요? 궁금하지 않으십니까? 이분의 치료 후 결과가 궁금하시다면 아래 영상을 꼭 보시길 바랍니다.
모커리 척추관협착증 ABCDE 한·양방 협진 재활치료법은 수술 없이 협착증을 치료하는 모커리 고유의 비수술 치료방법입니다. 한쪽 다리의 통증만 있는 초기 협착증부터 다리에 힘이 빠지고 몇 걸음 걷지 못하는 말기 협착증까지 ABCDE 척추관협착증 비수술 치료법으로 치료하고 있습니다. 모커리는 수준 높은 임상연구를 통하여 말기 협착증 환자가 ABCDE 재활치료로 통증 없이 걷는 거리가 11배 증가했다는 것을 과학적으로 객관적으로 증명하여 국제학술지에 논문을 발표했습니다.

보다 많은 환자분들과 건강정보를 공유하고자 개방형 게시판으로 건강상담을 운영하고 있습니다. 목과 허리 통증•디스크•협착증•교통사고•어깨•무릎 등 궁금하신 질문을 남겨주시면 전문의가 최대한 자세하게 답변 드립니다.
| 제목 | |||||||||
|---|---|---|---|---|---|---|---|---|---|
|
|||||||||
|
|||||||||
|
|||||||||
|
|||||||||