재활의학과도 갔었고 정형외과도 갔었고 목디스크라고 했는데 그게 신경을 건드리기 때문에 아프다, 근데 뭐 수술하지 않은 이상 특별히 치료가 안 된다면서 통증이 견갑골을 이렇게 타고 내려간다고 그래야 될까. 견갑골 안쪽으로 해서 이 팔까지 여기까지 이렇게 다 통증이 있었어요. 견갑골쪽이 계속 막 쑤시는 증상 이게 저린 거랑은 달라요. 신경을 이렇게 건드리는 듯한 그런 증상이 있었거든요.
그냥 24시간 아프다고 생각하시면 돼요. 계속 바늘로 찌르는 것 같이 아프고 칼로 막 도려낸다고 그럴까. 그냥 24시간 아팠어요. 5~10분 걸으면 바로 앉아야 되고 한 10분 정도 앉아서 얘기하다 보면 가서 누워야 되고 막 그랬죠.
한 5,6월쯤에 신경주사 맞아보자고 해서 그때 맞았어요. 근데 맞고 나서도 크게 진전이 없었어요. 계속 아프더라고요 똑같이. 그래서 그만 맞았죠.
제가 원래 승모근이 항상 뭉쳐 있었어요. 그래서 재활의학과 가서 일주일에 한 두 번씩 도수치료 받고 근육 풀리는 주사도 맞고 했는데 거의 진전이 없더라고요. 그러다가 올 5월에 심하게 통증이 왔어요. 담 걸린 것처럼. 유독 견갑골 있죠. 그쪽이 많이 아팠어요.
이제 수술을 받아야 되는데 요즘에 수술에 대한 인식이 별로 안 좋잖아요. 수술에 대한 거부 반응도 제가 좀 있고 그래서 제가 이제 좀 여기저기 한방병원을 알아보긴 했죠. 근데 여기 와서 보니까 여기가 엄청 유명한 데더라고요. 환자분들이 다 지방에서 오고, 부산에서 오고, 경주에서 오고 그래서 제가 되게 럭키했다고 느꼈어요.
말리는 사람이 너무 많았어요. 입원해 있는데도 맨날 전화 와서 ‘빨리 나와라, 일단 다른 데 가서 주사를 맞아라’ 그런 얘기를 너무 많이 들었죠. 제 또래나 젊으신 분들은 저희 동생부터 해서 언니, 주변에 회사분들 대부분이 한 80% 이상은 다 빨리 퇴원해서 시간 버리지 말고 양방 찾아가라 그랬죠.
저도 사실 선입견이 있긴 있었어요. 근데 여기가 집중 치료를 해준다는 그게 제가 일단 솔깃해서 그래서 입원하게 됐죠. 내가 여기를 가야겠다 생각하고 그때부터 모커리에 대해 좀 찾아봤어요. 근데 일단 평도 좋고 그래서 입원한 다음에 좀 믿음이 더 생겼어요. 주변에 좋아져서 퇴원을 하시니까 그래서 여기 있으면 그래도 좋아지긴 하겠구나 그런 믿음이 들었죠.
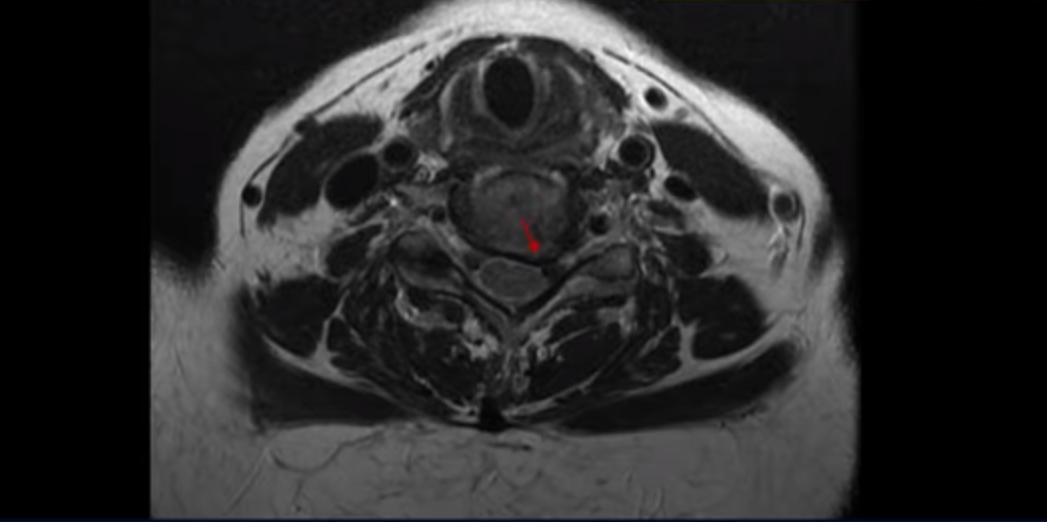
환자분 말씀 잘 들으셨습니까? 이분 MRI 보면서 설명 드린 후 목디스크는 왜 비수술 치료가 허리디스크에 비해 훨씬 쉬운지, 왜 치료 기간도 짧은지, 왜 대부분 통원치료도 가능한지 설명 드리겠습니다.
우선 이분 MRI를 보면 목디스크 6번 7번에 오른쪽으로 디스크가 터져서 밀려 나와 있습니다. 이 문제가 오른쪽 팔 통증과 견갑골 통증을 일으키는 걸로 보입니다.

4번 5번과 5번 6번에서도 신경길이 좁아져있지만 왼쪽 방향이라 오른쪽 방사통은 이 6번 7번 디스크 때문으로 보입니다.

그럼 이렇게 밀려 나온 디스크 때문에 방사통이 있는데 이게 어떻게 수술 없이 치료가 가능할까요? 지금부터 왜 목디스크가 수술 없이 치료가 가능한지 왜 허리디스크보다 치료가 더 쉽고 빠른지 또 어떻게 치료하는지 설명 드리겠습니다.
저희 모커리한방병원은 디스크라는 질환은 여러 영상을 통해 우리 몸의 찢어진 손상이며 그에 관련된 염증성 통증이라고 설명하면서 시간이 지나면 손상은 자연치유 되며 염증은 2주에서 4주 정도면 거의 대부분 가라앉는다고 말씀 드렸습니다. 목디스크의 염증은 2주 정도, 허리디스크는 4주 정도면 대부분 가라앉습니다. 그래서 목디스크가 허리보다 치료가 쉽고 빠르다는 건 목디스크 입원 치료 기간이 평균 2주이며 허리디스크가 4주 입니다. 또 허리디스크는 대부분 입원 치료를 해야 하지만 목디스크는 대부분 통원치료가 가능합니다.
목디스크 치료가 더 쉽고 빠른 이유는 허리디스크에 비해 상대적으로 밀려 나오는 디스크 수핵의 절대 양도 작고 따라서 신경에 일으키는 염증도 덜 심합니다. 그래서 치료기간도 짧고 더 쉬운 겁니다.
또 목은 머리만 받치고 있기 때문에 상반신 전체의 무게를 지탱하는 허리에 비해 압력을 훨씬 더적게 받습니다. 그래서 신경 눌림도 일반적으로 허리보다 덜 합니다. 그리고 허리는 누워있지 않고 걸어 다니고 앉아 있고 허리를 구부렸다 폈다 하면 디스크와 신경이 지속적인 손상과 자극을 받아 4주 정도면 자연적으로 가라 앉아야 할 염증이 가라 앉지 않고 좋아져야 할 통증이 좋아지지 않고 오래가게 됩니다. 하지만 목은 목을 구부리지만 않으면 특별히 목디스크가 손상 받거나 신경이 자극받을 만한 게 없기 때문에 염증이 가라앉기 쉬운 겁니다.
그럼 시간이 지나면 염증이 자연적으로 가라앉고 좋아진다면서 무슨 치료를 한다는 걸까요? 실제로 이상적인 상태에서 목디스크의 추가적인 손상만 없도록 목 구부리는 것만 하지 않고 즉 거북목 자세만 하지 않고 있으면 몇 주 이내에 염증이 가라앉으면서 방사통이 사라지겠지만 현실적으로는 거의 대부분의 목디스크 환자는 목의 커브가 이미 다 일자목, 거북목 형태로 변형이 되어 있고 따라서 목 주변 근육이 심하게 뭉치고 굳어있습니다.
이분 x-ray를 보시면 일자목이고 이런 목 형태에서는 목 주변 근육이 만성적으로 뭉치고 굳고 아픕니다.

그러니까 수년간 만성적인 목 통증이 있었고 항상 목 근육과 승모근이 뭉쳐있고 항상 담 걸린 것 같은 증상이 있는 겁니다. 특히 이런 일자목, 거북목 형태의 목은, 목 앞쪽의 근육들이 더 많이 뭉치고 단축되는데 그러면 목뼈들을 계속 잡아당기니까 신경 눌림이 더 심해질 수밖에 없습니다. 그러니까 잘 쉬면서 2주가 지나도 염증이 잘 가라앉지 않는 겁니다.
그래서 이런 뭉치고 굳어있는 목 근육 특히 목 앞쪽 근육들을 집중적으로 침, 약침, 봉침, 이완 추나요법, 도수치료 등으로 반복해서 풀어주면 신경 눌림이 줄어들면서 디스크 통증이 더 쉽게 사라지는 겁니다. 그런데 목 근육은 허리 근육에 비해 크기들도 작고 구조도 단순해서 뭉친 걸 풀어주기가 훨씬 쉽습니다. 그래서 목디스크 치료가 훨씬 더 쉬운 겁니다. 이분은 일반적인 목디스크 환자에 비해 증상이 더 심해서 앉는 것과 서서 걷는 것도 어려운 상태였습니다. 그래서 부득이하게 통원치료가 아닌 2주 입원 치료를 받으셨는데요. 그럼 이분 2주 입원 치료 결과는 어떨까요? 그리고 이분은 수년간에 걸쳐 항상 만성적인 목 통증과 승모근 통증 및 담 걸림 증상이 있었습니다. 근육치료가 잘 되었다면 목 디스크 증상인 팔 통증, 견갑골 통증 외에도 이런 증상들이 다 함께 좋아져야 합니다. 과연 2주 입원 후 그런 만성적인 통증들과 담 걸림 증상도 좋아졌을까요? 이분의 치료 후 결과가 궁금하시다면 아래 영상을 꼭 보시길 바랍니다.
모커리 목디스크 ABCDE 복합치료법은 수술 없이 목디스크를 치료하는 모커리 고유의 비수술 치료방법입니다. 초기 목디스크는 물론 수술을 권유 받을 정도의 힘 빠짐이나 마비를 동반한 중증 목디스크까지 ABCDE 목디스크 비수술 치료법으로 치료하고 있습니다. 모커리는 일반적으로 목디스크가 허리디스크보다 비수술치료로 더 쉽고 빠르게 치료된다는 것을 연구하여 학술대회 등에 지속적으로 발표하고 있습니다.

보다 많은 환자분들과 건강정보를 공유하고자 개방형 게시판으로 건강상담을 운영하고 있습니다. 목과 허리 통증•디스크•협착증•교통사고•어깨•무릎 등 궁금하신 질문을 남겨주시면 전문의가 최대한 자세하게 답변 드립니다.
| 제목 | |||||||||
|---|---|---|---|---|---|---|---|---|---|
|
|||||||||
|
|||||||||
|
|||||||||
|
|||||||||