“같은 데죠. 4, 5번 디스크 수술을 두 번 했어요. 가을에 단풍 구경 갔다 왔는데 다리가 통증이 너무 심한 거예요. 이번에도 4, 5번이 터졌다고 하시더라고요.”
이 환자분 MRI 보면서 설명 드린 후 어떻게 이런 디스크 파열을 수술 없이 치료할 수 있는지, 왜 파열이 심할수록, 방사통이 심할수록 또 마비까지 있어서 일상생활이 더 어려울수록 오히려 비수술 치료의 성공 가능성이 더 높아지는지 또 구체적으로 치료는 어떻게 하는 건지 자세히 설명 드리겠습니다.
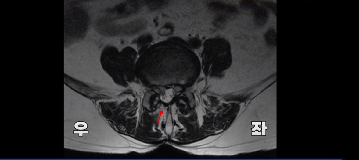
이 환자분 MRI를 보면 보시다시피 4번, 5번 디스크 파열로 오른쪽으로 심하게 밀려 나와있습니다.

그래서 이분은 오른쪽 엉덩이와 오른쪽 다리에 심한 방사통이 있으셨습니다.
여기 보시다시피 과거에 수술 받은 결과로 뒤쪽의 후관절 뼈 일부가 없어진 것이 보입니다.

이렇게 디스크 수술 후 재발이 되어 수술을 여러 번 받다 보면 척추가 불안정해지면서 나사를 박는 유합술을 받게 될 수도 있습니다. 그래서 이런 수술 후 재발 위험 때문에 디스크는 수술 없이 치료하는 게 정말 좋은 겁니다.
그런데 허리디스크 파열의 방사통이 사라지는 시간은 파열이 매우 심하고 다리 마비가 있는 환자라도 평균 4주입니다. 이 환자분은 4주간의 치료를 받으셨는데요. 이 방사통이 사라지는 4주라는 시간은 최적화된 조건 하에서의 평균시간입니다.
최적화된 조건이란 2가지가 있는데 첫 째는 입원해서 완전히 누워 쉬면서 일상생활을 중단하는 것이고 두 번째는 심한 통증으로 뭉치고 긴장되고 뒤틀리는 근육들을 부드럽게 하루 4번 이상 풀어주고 쉬고 풀어주고 쉬고 풀어주고 쉬고를 반복하는 겁니다. 아니 신경이 물리적으로 눌리고 염증이 있어서 아픈 건데 근육을 풀어주는 거랑 무슨 관계가 있냐구요? 이해가 잘 안 되시죠. 어떻게 이런 치료로 디스크 파열이 좋아질 수 있는 지와 자세한 치료방법은 이분 말씀 더 듣고 설명 드리겠습니다. 그리고 이런 디스크파열 치료후기, 협착증 치료후기를 저희가 매주 올리고 있으니까 많이 보실수록 이해가 더 잘 되실 겁니다.
제가 수술을 두 번 했어요. 같은 데죠. 4. 5번. 첫 번째는 째지 않고 구멍만 뚫고서 시술을 한다고 했어요. 근데 그게 완벽하지가 않았던 거예요. 몇 년 지나고 나서 OOO 병원 거기서 째는 수술하고 두 번째 수술 하고서는 이제 허리가 다리가 아파가지고 통증이 와 갖고 직장생활을 8월말로 그만뒀어요. 그만두고도 쉬어야 되는데 나이 생각 안 하고 가을에 단풍 구경 가자고 수락산을 탔어요. 거기 갔다 왔는데 뭔가 다리, 종아리가 기분이 안 좋은 거예요. 그래가지고 점점 다리가 통증이 오는 거예요. 그래서 ‘안 되겠다 이거’ 동네 이제 그전에 아플 때 다니던 신경외과 가가지고 얘기했더니 그냥 CT만 찍어보고 신경 주사를 맞았는데 더 아픈 거예요. 이거 뭔가 심상치 않다. 통증이 너무 심한 거예요. 이번에도 4,5번이라고 하시더라고요.
다리 통증이요. 막 찢어지게 찌릿찌릿 터질 것같이 아팠는데 정강이 그러니까 발이 여기면은 발목 여기서부터 통증이 올라와요. 더 서 있을 수가 없이 걸으면 더 아픈 거잖아요.
오기 전에 신경주사 맞았어요. 모니터 보고 깊이 넣는 주사 있잖아요. 그냥 CT상으로 보고는 신경주사 놔주고 자세하게 이렇게 어쩌고 저쩌고 이런 말은 안 해요. 신경주사를 맞고 지냈는데도 안 듣더라고요. 그래서 이거는 아닌가 보다 그런 거죠.
동생도 협착증이 있어가지고 유튜브를 많이 봐요. 나한테 ‘언니 내가 유튜브 하나 보내줄게. 한번 봐봐’ 했는데 여기 모커리 치료후기 사례하고 비수술 치료 해가지고 나왔다고. 할머니 80 몇 세인 분 말씀하시고 또 할아버지분 말씀하시는데 진짜 저럴까 싶은 거예요. 안 믿겨지죠. 사실 믿어야 되는데 믿음이 100% 가지는 않잖아요. 그래도 강남에 있고 경희대 나오신 분들이고 그러면 가짜는 아니겠다라는 생각이 들더라고요. 그걸 보고 나서 동생이랑 얘기를 했어요. ‘ 우리 그럼 같이 한번 가보자’ 수술 안 하고 나으면 땡큐지 싶어가지고 전화를 드렸어요. 저는 너무 급하니까 옛날에 한 번 고통이 있었으니까 이건 빨리 해야 된다는 걸 아니까 바로 예약하고 온 거예요.
제가 OOO병원 또 가려고 그랬었어요. 수술한 병원이니까 거기 가서 상황을 보고 수술을 해야 되는지 안 되는지를. 그럼 또 거기 가면 수술밖에 얘기 안 할 거 아니에요 당연히. 이번에는 또 수술하게 되면 무섭잖아요. 그래서 수술 안 하고 낫는 방법이 있다고 하니까 진짜 그런가.
반신반의 했죠. 그래서 그러면은 기왕이면 수술을 먼저 하느냐 아니면 비수술 치료를 해보느냐 제 판단은 그랬어요. 비수술 치료를 해서 안 나으면 그때 가서 수술하지. 일단은 해보고 여기서는 나쁠 건 없지 않냐 한방이니까 물리치료 받고 침 맞고 한약 먹고 몸에 나쁜 건 하나도 없으니까 일단은 몸에 부작용은 없을 거니까 한 번 해보고 안 되면 수술하자 이런 마음으로 온 거죠. 여기를.
애들한테 얘기했더니 우리 아들이 그게 한방에서 낫냐고, 엄마 잘 알아보고 간 거냐고. 속고 간 거 아니냐고 막 그래가지고 ‘아니야 엄마 여기서 해볼 거야’ 젊은 사람들이 한방을 안 믿어요. 저는 제가 아프면 그냥 해요. 무조건. 내가 아프면 내가 알아서 해야지. 누가 이래라 저래라 한다고 거기 듣나요? 내가 중요하지. 내가 아프면 내가 치료해야 되는 거지. 누가 뭐 안 아픈 사람이 그 심정을 아나? 안 아픈 사람은 이 아픈 고통을 몰라서 그런 소리 하는 거야. 저는 그렇다고 생각해요.
앞서 말씀 드린대로 허리디스크 파열로 인한 극심한 방사통도 최적화된 조건 하에서 평균 4주면 가라앉습니다. 최적화된 조건 2가지는, 첫째 모든 일상생활을 모두 중단하고 누워서 절대 안정을 취하는 겁니다. 둘째, 심한 디스크 통증으로 뭉치고 긴장되고 뒤틀리는 허리, 골반, 다리 근육을 하루에도 4번 이상 디스크 손상 부위와 염증을 자극하지 않으면서 최대한 부드럽게 풀어주고 쉬고 풀어주고 쉬고 풀어주고 쉬고를 반복하는 겁니다.
누워서 쉬지 않고 허리를 계속 사용하는 일상생활을 계속하면 디스크 상처가 계속 미세한 손상을 받기 때문에 잘 아물지 않고 신경의 염증을 계속 자극하여 만성적인 염증으로 진행하게 만듭니다 .이 과정에서 심한 통증 때문에 허리, 골반, 다리 근육이 뭉치고 긴장되며 뒤틀리게 됩니다. 뭉치고 긴장되고 뒤틀린 근육은 척추 뼈들을 계속 잡아당겨 신경 눌림을 심하게 만들고 순환도 방해되어 밀려 나온 디스크 수핵의 흡수도 방해가 되며 염증이 만성화되어 가라앉지 않으면 방사통이 좋아질 수가 없습니다. 그러니까 방사통이 아주 오랫동안 6개월, 1년, 1년 반 이상 계속 되는 겁니다.
그런데 가만히 집에 누워있는 것만으로는 최적화된 조건을 충족할 수 없습니다. 특히 원래 근육이 적고 상태가 안 좋은 사람일수록 또 디스크 파열 전에 허리 통증을 오래 겪은 사람일수록 근육의 뭉침과 긴장도 및 뒤틀린 정도가 심하기 때문에 일상 생활을 중단하고 누워있어도 염증이 가라앉고 방사통이 사라지는 데 4주보다 훨씬 더 오랜 시간이 걸리는 것이고, 실제로 몇 달을 누워 있어도 근육의 문제가 제대로 해결되지 않은 사람들은 다시 일어서서 활동을 시작하면 방사통 문제를 여전히 심하게 겪을 수 있습니다. 그래서 최적화된 조건이란 가만히 누워만 있는 게 아니고 반복적으로 뭉치고 긴장되고 뒤틀리는 근육을 부드럽게 풀어주는 치료를 병행하는 겁니다.
그리고 허리디스크 파열에 대해 또 아셔야 될게 파열이 심하면 심할수록 흡수가 더 잘 됩니다. 그래서 파열이 심하다고 또 마비증상까지 있다고 해서 특별히 더 걱정할 필요도 없습니다. 발목마비 증상들은 밀려나온 수핵이 흡수가 시작되고 방사통이 가라앉으면서 함께 회복되는 게 일반적입니다. 저희가 응급으로 수술을 권하는 거의 유일한 경우가 대소변 마비가 왔을 경우입니다. 심한 대소변마비로 대소변이 조절되지 않고 줄줄새는 경우를 제외하고는 디스크 파열로 인해 긴급하게 수술을 해야 하는 경우는 거의 없다는 얘기입니다.
그렇다면 허리, 골반, 다리의 뭉치고 뒤틀린 근육을 어떻게 치료할까요? 저희 모커리 ABCDE 디스크 근육재활치료법은 한방, 양방을 통합하여 근육에 관련된 할 수 있는 거의 모든 치료를 다 합니다. 침, 약침, 봉침, 이완추나, 근육의 피로와 긴장을 풀어주는 한약, 도수치료, 물리치료, 가벼운 운동치료까지 이런 여러 가지 치료방법을 총동원하여 환자를 입원시킨 상태에서 하루에도 4번 이상 허리, 골반, 엉덩이, 다리의 뭉친 근육을 풀어주고 쉬고 풀어주고 쉬고 풀어주고 쉬고를 반복하는 겁니다. 이런 집중적이고 반복적이며 체계적인 근육치료를 환자 상태에 따라 2주에서 4주정도 치료합니다. 이런 집중적이고 반복적이며 체계적인 디스크 근육치료를 우리는 모커리 ABCDE 디스크 근육재활치료법이라고 부릅니다.
최적화된 조건 하에 4주면 방사통이 가라앉는다는 것이 믿기지 않으시는 분들은 저희가 매주 올리고 있는 수많은 디스크, 협착증 환자들의 치료 후기를 보시길 바랍니다. 디스크라는 질환은 궁극적으로는 노화로 인한 협착증보다 완치의 가능성이 훨씬 더 높습니다. 왜냐하면 디스크는 우리 몸의 상처이고, 상처 즉 손상은 우리가 지속적으로 상처를 자극하고 재손상만 시키지 않는다면 저절로 좋아지는 것이며, 예를 들어 손가락이 베였을 때 그게 안 붙을까 봐 걱정하는 사람은 단 한 명도 없습니다. 손가락이 자연적으로 아물고 좋아지는 과정이 염증 반응이며, 이 급성 염증이 손가락이 아물면서 가라앉으면 통증도 함께 사라지는 겁니다.
이런 4주의 근육재활치료 결과는 실제로 해보지 않은 의료진은 알 수가 없고, 당연히 겪어보지 않은 환자 또한 알 수가 없습니다. 그런데 디스크 방사통이 가라앉는 기간에 대해 이런 치료를 받아본 적도 없는, 심지어는 누워서 제대로 쉬어본 적도 없는 일반인들이 오로지 본인 자신만이 경험한 아주 편협한 지식만으로 방사통이 오래가는 걸 당연하듯이 얘기하고 오로지 신경주사 맞으며 신전 운동과 걷기 운동만 하면서 방사통이 사라질 때까지 버티는 것이 보존 치료의 정석인양 얘기하는 걸 보면 너무나 답답하고 안타깝습니다.
그럼 이분의 4주간의 입원치료 결과는 어떻게 되었을까요? 서있을 수도, 걸을 수도 없을 정도로 아픈 통증이 완전히 다 사라졌을까요? 이분의 치료 후 결과가 궁금하시다면 아래 영상을 꼭 보시길 바랍니다.
모커리 허리디스크 ABCDE 한·양방 협진 재활치료법은 수술 없이 허리디스크를 치료하는 모커리 고유의 비수술 치료방법입니다. 디스크 통증은 물론 수술을 권유 받을 정도의 마비와 힘 빠짐을 동반한 디스크 파열 등의 중증 허리디스크를 수술 없이 ABCDE 허리디스크 비수술 치료법으로 치료하고 있습니다. 모커리는 심하게 파열된 허리디스크 뿐 아니라 수술 후 재발한 허리디스크, 척추유합술 후 재발한 허리디스크 등의 어려운 척추 질환을 비수술로 치료하고 있으며, 이러한 ABCDE 치료법의 효과를 과학적, 객관적으로 검증하여 해외 유명학회 및 학술지 등에 지속적으로 발표하고 있습니다.

보다 많은 환자분들과 건강정보를 공유하고자 개방형 게시판으로 건강상담을 운영하고 있습니다. 목과 허리 통증•디스크•협착증•교통사고•어깨•무릎 등 궁금하신 질문을 남겨주시면 전문의가 최대한 자세하게 답변 드립니다.
| 제목 | |||||||||
|---|---|---|---|---|---|---|---|---|---|
|
|||||||||
|
|||||||||
|
|||||||||
|
|||||||||